别名:HYPA; FBP11; FLAF1; FNBP3; HIP10; Prp40; FBP-11; HIP-10; NY-REN-6应用:WB,IHC
反应种属:Human, Mouse
规格:50μl/100μl
| Description |
|---|
| Binds to WASL/N-WASP and suppresses its translocation from the nucleus to the cytoplasm, thereby inhibiting its cytoplasmic function (By similarity). Plays a role in the regulation of cell morphology and cytoskeletal organization. Required in the control of cell shape and migration. May play a role in cytokinesis. May be involved in pre-mRNA splicing. |
| Specification | |
|---|---|
| Aliases | HYPA; FBP11; FLAF1; FNBP3; HIP10; Prp40; FBP-11; HIP-10; NY-REN-6 |
| Swissprot | O75400 |
| WB Predicted band size | 109 kDa |
| Host/Isotype | Rabbit IgG |
| Storage | Store at 4°C short term. Aliquot and store at -20°C long term. Avoid freeze/thaw cycles. |
| Species Reactivity | Human, Mouse |
| Immunogen | Fusion protein of human PRPF40A |
| Formulation | pH7.4 PBS, 0.05% NaN3, 40% Glycerol |
| Application | |
|---|---|
| WB | 1/500-1/2000 |
| IHC | 1/50-1/200 |
| ELISA | 1/5000-1/10000 |
![]() |
Gel: 6%SDS-PAGE, Lysate: 40 μg, Lane: Hela cell lysate, Primary antibody: P03308(PRPF40A Antibody) at dilution 1/800, Secondary antibody: Goat anti rabbit IgG at 1/5000 dilution, Exposure time: 5 minutes |
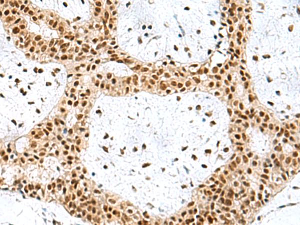
![]() |
The image is immunohistochemistry of paraffin-embedded Human breast cancer tissue using P03308(PRPF40A Antibody) at dilution 1/60. (Original magnification: ×200) |
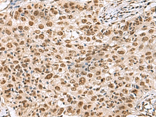
![]() |
The image is immunohistochemistry of paraffin-embedded Human esophagus cancer tissue using P03308(PRPF40A Antibody) at dilution 1/60. (Original magnification: ×200) |
本公司的所有产品仅用于科学研究或者工业应用等非医疗目的,不可用于人类或动物的临床诊断或治疗,非药用,非食用。
暂无评论
本公司的所有产品仅用于科学研究或者工业应用等非医疗目的,不可用于人类或动物的临床诊断或治疗,非药用,非食用。
中文



发表回复