别名:PRP8; RP13; HPRP8; PRPC8; SNRNP220应用:WB,IHC
反应种属:Human, Mouse
规格:50μl/100μl
| Description |
|---|
| Pre-mRNA splicing occurs in 2 sequential transesterification steps. The protein encoded by this gene is a component of both U2- and U12-dependent spliceosomes, and found to be essential for the catalytic step II in pre-mRNA splicing process. It contains several WD repeats, which function in protein-protein interactions. This protein has a sequence similarity to yeast Prp8 protein. This gene is a candidate gene for autosomal dominant retinitis pigmentosa. |
| Specification | |
|---|---|
| Aliases | PRP8; RP13; HPRP8; PRPC8; SNRNP220 |
| Swissprot | Q6P2Q9 |
| WB Predicted band size | 274 kDa |
| Host/Isotype | Rabbit IgG |
| Storage | Store at 4°C short term. Aliquot and store at -20°C long term. Avoid freeze/thaw cycles. |
| Species Reactivity | Human, Mouse |
| Immunogen | Synthetic peptide of human PRPF8 |
| Formulation | pH7.4 PBS, 0.05% NaN3, 40% Glycerol |
| Application | |
|---|---|
| WB | 1/500-1/2000 |
| IHC | 1/20-1/100 |
| ELISA | 1/5000-1/10000 |
![]() |
Gel: 6%SDS-PAGE, Lysate: 40 μg, Lane 1-5: 293T, K562, Raji, Hela and NIH/3T3 cell lysates, Primary antibody: P13160(PRPF8 Antibody) at dilution 1/600, Secondary antibody: Goat anti rabbit IgG at 1/8000 dilution, Exposure time: 50 seconds |
![]() |
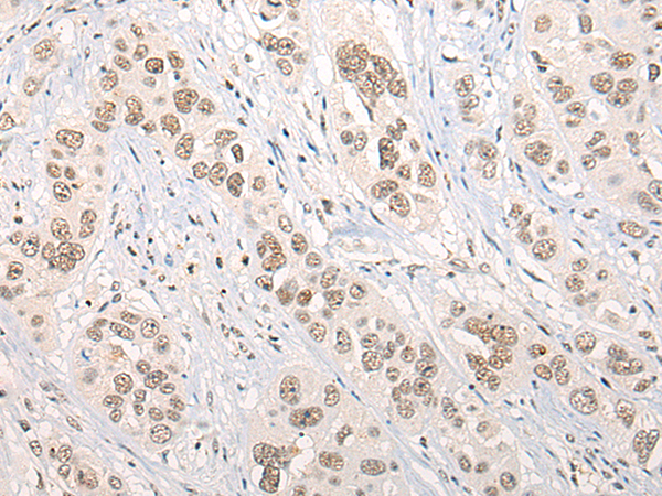
The image is immunohistochemistry of paraffin-embedded Human esophagus cancer tissue using P13160(PRPF8 Antibody) at dilution 1/20. (Original magnification: ×200) |
![]() |
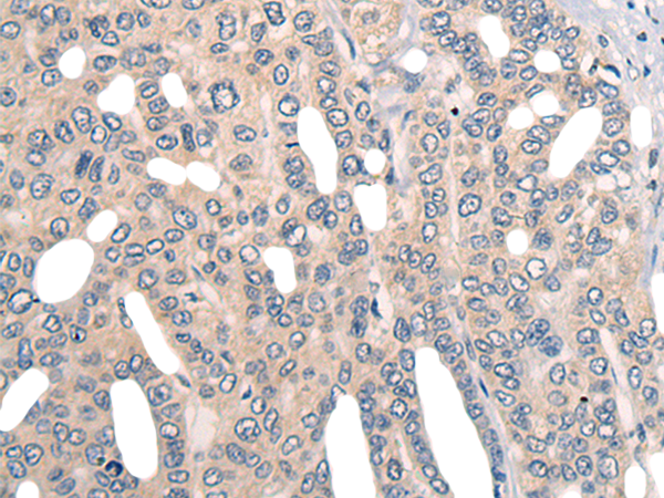
The image is immunohistochemistry of paraffin-embedded Human liver cancer tissue using P13160(PRPF8 Antibody) at dilution 1/20. (Original magnification: ×200) |
本公司的所有产品仅用于科学研究或者工业应用等非医疗目的,不可用于人类或动物的临床诊断或治疗,非药用,非食用。
暂无评论
本公司的所有产品仅用于科学研究或者工业应用等非医疗目的,不可用于人类或动物的临床诊断或治疗,非药用,非食用。
中文



发表回复