别名:CT20; TSP50应用:WB,IHC
反应种属:Human
规格:50μl/100μl
| Description |
|---|
| May be involved in proteolysis through its threonine endopeptidase activity. Testis specific. Differentially expressed in some breast cancer tissues. |
| Specification | |
|---|---|
| Aliases | CT20; TSP50 |
| Swissprot | Q9UI38 |
| WB Predicted band size | 43 kDa |
| Host/Isotype | Rabbit IgG |
| Storage | Store at 4°C short term. Aliquot and store at -20°C long term. Avoid freeze/thaw cycles. |
| Species Reactivity | Human |
| Immunogen | Synthetic peptide of human PRSS50 |
| Formulation | pH7.4 PBS, 0.05% NaN3, 40% Glycerol |
| Application | |
|---|---|
| WB | 1/500-1/2000 |
| IHC | 1/25-1/100 |
| ELISA | 1/2000-1/5000 |
![]() |
Gel: 8%SDS-PAGE, Lysate: 40 μg, Lane: Hepg2 cells, Primary antibody: P12337(PRSS50 Antibody) at dilution 1/450, Secondary antibody: Goat anti rabbit IgG at 1/8000 dilution, Exposure time: 3 minutes |
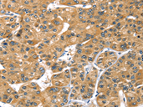
![]() |
The image is immunohistochemistry of paraffin-embedded Human liver cancer tissue using P12337(PRSS50 Antibody) at dilution 1/30. (Original magnification: ×200) |
![]() |
The image is immunohistochemistry of paraffin-embedded Human esophagus cancer tissue using P12337(PRSS50 Antibody) at dilution 1/30. (Original magnification: ×200) |
本公司的所有产品仅用于科学研究或者工业应用等非医疗目的,不可用于人类或动物的临床诊断或治疗,非药用,非食用。
暂无评论
本公司的所有产品仅用于科学研究或者工业应用等非医疗目的,不可用于人类或动物的临床诊断或治疗,非药用,非食用。
中文



发表回复