别名:Proteasome subunit alpha type-5, Macropain zeta chain, Multicatalytic endopeptidase complex zeta chain, Proteasome zeta chain, PSMA5应用:WB,IHC
反应种属:Human
规格:50μl/100μl
| Description |
|---|
| The proteasome is a multicatalytic proteinase complex with a highly ordered ring-shaped 20S core structure. The core structure is composed of 4 rings of 28 non-identical subunits; 2 rings are composed of 7 alpha subunits and 2 rings are composed of 7 beta subunits. Proteasomes are distributed throughout eukaryotic cells at a high concentration and cleave peptides in an ATP/ubiquitin-dependent process in a non-lysosomal pathway. An essential function of a modified proteasome, the immunoproteasome, is the processing of class I MHC peptides. PMA5 is a member of the peptidase T1A family, that is a 20S core alpha subunit. |
| Specification | |
|---|---|
| Aliases | Proteasome subunit alpha type-5, Macropain zeta chain, Multicatalytic endopeptidase complex zeta chain, Proteasome zeta chain, PSMA5 |
| Entrez GeneID | 5686 |
| Swissprot | P28066 |
| WB Predicted band size | 26.4kDa |
| Host/Isotype | Rabbit IgG |
| Storage | Store at 4°C short term. Aliquot and store at -20°C long term. Avoid freeze/thaw cycles. |
| Species Reactivity | Human |
| Immunogen | This PSMA5 antibody is generated from rabbits immunized with a KLH conjugated synthetic peptide between 1-30 amino acids from the N-terminal region of human PSMA5. |
| Formulation | Purified polyclonal antibody supplied in PBS with 0.05% sodium azide. This antibody is purified through a protein A column, eluted with high and low pH buffers and neutralized immediately, followed by dialysis against PBS. |
| Application | |
|---|---|
| WB | 1/1000 |
| IHC | 1/100-1/500 |
![]() |
Western blot analysis of PSMA5 (arrow) using rabbit polyclonal PSMA5 Antibody (N-term) (Cat.#P30186). 293 cell lysates (2 ug/lane) either nontransfected (Lane 1) or transiently transfected with the PSMA5 gene (Lane 2) (Origene Technologies). |
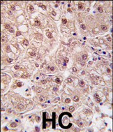
![]() |
Formalin-fixed and paraffin-embedded human hepatocarcinoma tissue reacted with PSMA5 antibody (N-term)(Cat.#P30186), which was peroxidase-conjugated to the secondary antibody, followed by DAB staining. This data demonstrates the use of this antibody for immunohistochemistry; clinical relevance has not been evaluated. |
本公司的所有产品仅用于科学研究或者工业应用等非医疗目的,不可用于人类或动物的临床诊断或治疗,非药用,非食用。
暂无评论
本公司的所有产品仅用于科学研究或者工业应用等非医疗目的,不可用于人类或动物的临床诊断或治疗,非药用,非食用。
中文


发表回复