别名:Putative N-acetylated-alpha-linked acidic dipeptidase, NAALADase, 34–, Cell growth-inhibiting gene 26 protein, Prostate-specific membrane antigen-like protein, Putative folate hydrolase 1B, FOLH1B, PSMAL应用:WB,IHC,FCM
反应种属:Human
规格:50μl/100μl
| Description |
|---|
| PSMAL has both folate hydrolase and N-acetylated-alpha-linked-acidic dipeptidase (NAALADase) activity (By similarity). PSMAL exhibits a dipeptidyl-peptidase IV type activity |
| Specification | |
|---|---|
| Aliases | Putative N-acetylated-alpha-linked acidic dipeptidase, NAALADase, 34–, Cell growth-inhibiting gene 26 protein, Prostate-specific membrane antigen-like protein, Putative folate hydrolase 1B, FOLH1B, PSMAL |
| Entrez GeneID | 219595 |
| Swissprot | Q9HBA9 |
| WB Predicted band size | 50.0kDa |
| Host/Isotype | Rabbit IgG |
| Storage | Store at 4°C short term. Aliquot and store at -20°C long term. Avoid freeze/thaw cycles. |
| Species Reactivity | Human |
| Immunogen | This PSMAL antibody is generated from rabbits immunized with a KLH conjugated synthetic peptide between 155-183 amino acids from the Central region of human PSMAL. |
| Formulation | Purified polyclonal antibody supplied in PBS with 0.05% sodium azide. This antibody is purified through a protein A column, followed by peptide affinity purification. |
| Application | |
|---|---|
| WB | 1/1000 |
| IHC | 1/100-1/500 |
| FCM | 1/10-1/50 |
![]() |
Western blot analysis of lysate from human kidney tissue lysate, using PSMAL Antibody (Center)(Cat. #P32779). P32779 was diluted at 1:1000. A goat anti-rabbit IgG H&L(HRP) at 1:10000 dilution was used as the secondary antibody. Lysate at 35ug. |
![]() |
Western blot analysis of PSMAL Antibody (Center) (Cat. #P32779) in K562 cell line lysates (35ug/lane).PSMAL (arrow) was detected using the purified Pab. |
![]() |
Western blot analysis of PSMAL Antibody (Center) (Cat. #P32779) in K562 cell line lysates (35ug/lane).PSMAL (arrow) was detected using the purified Pab. |
![]() |
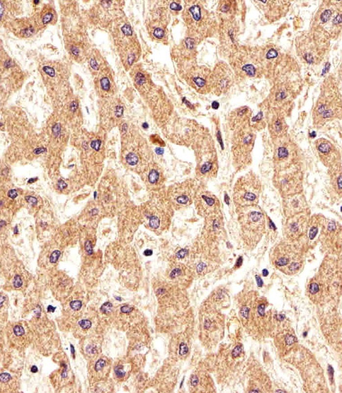
Immunohistochemical analysis of paraffin-embedded H. liver section using PSMAL Antibody (Center)(Cat#P32779). P32779 was diluted at 1:25 dilution. A undiluted biotinylated goat polyvalent antibody was used as the secondary, followed by DAB staining. |
![]() |
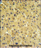
PSMAL Antibody (Center) (Cat. #P32779) IHC analysis in formalin fixed and paraffin embedded hepatocarcinoma followed by peroxidase conjugation of the secondary antibody and DAB staining. This data demonstrates the use of the PSMAL Antibody (Center) for immunohistochemistry. Clinical relevance has not been evaluated. |
本公司的所有产品仅用于科学研究或者工业应用等非医疗目的,不可用于人类或动物的临床诊断或治疗,非药用,非食用。
暂无评论
本公司的所有产品仅用于科学研究或者工业应用等非医疗目的,不可用于人类或动物的临床诊断或治疗,非药用,非食用。
中文





发表回复