别名:JMP; ALDD; LMP7; NKJO; D6S216; PSMB5i; RING10; D6S216E应用:WB,IHC
反应种属:Human
规格:50μl/100μl
| Description |
|---|
| The proteasome is a multicatalytic proteinase complex with a highly ordered ring-shaped 20S core structure. The core structure is composed of 4 rings of 28 non-identical subunits; 2 rings are composed of 7 alpha subunits and 2 rings are composed of 7 beta subunits. Proteasomes are distributed throughout eukaryotic cells at a high concentration and cleave peptides in an ATP/ubiquitin-dependent process in a non-lysosomal pathway. |
| Specification | |
|---|---|
| Aliases | JMP; ALDD; LMP7; NKJO; D6S216; PSMB5i; RING10; D6S216E |
| Swissprot | P28062 |
| WB Predicted band size | 30 kDa |
| Host/Isotype | Rabbit IgG |
| Storage | Store at 4°C short term. Aliquot and store at -20°C long term. Avoid freeze/thaw cycles. |
| Species Reactivity | Human |
| Immunogen | Synthetic peptide of human PSMB8 |
| Formulation | pH7.4 PBS, 0.05% NaN3, 40% Glycerol |
| Application | |
|---|---|
| WB | 1/500-1/2000 |
| IHC | 1/25-1/100 |
| ELISA | 1/2000-1/5000 |
![]() |
Gel: 8%SDS-PAGE, Lysate: 40 μg, Lane 1-6: Hela cells, Raji cells, Jurkat cells, Human placenta tissue, A431 cells, 231 cells, Primary antibody: P05021(PSMB8 Antibody) at dilution 1/350, Secondary antibody: Goat anti rabbit IgG at 1/8000 dilution, Exposure time: 10 seconds |
![]() |
The image is immunohistochemistry of paraffin-embedded Human lung cancer tissue using P05021(PSMB8 Antibody) at dilution 1/30. (Original magnification: ×200) |
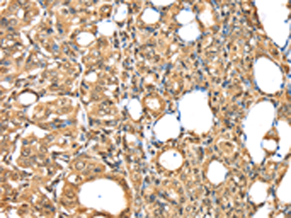
![]() |
The image is immunohistochemistry of paraffin-embedded Human thyroid cancer tissue using P05021(PSMB8 Antibody) at dilution 1/30. (Original magnification: ×200) |
本公司的所有产品仅用于科学研究或者工业应用等非医疗目的,不可用于人类或动物的临床诊断或治疗,非药用,非食用。
暂无评论
本公司的所有产品仅用于科学研究或者工业应用等非医疗目的,不可用于人类或动物的临床诊断或治疗,非药用,非食用。
中文



发表回复