别名:26S proteasome non-ATPase regulatory subunit 14; PAD1; POH1; Psmd14; RPN11应用:WB,IHC,ICC
反应种属:Human,Mouse,Rat,Monkey
规格:50μl/100μl
| Description |
|---|
| Metalloprotease component of the 26S proteasome that specifically cleaves ‘Lys-63’-linked polyubiquitin chains. The 26S proteasome is involved in the ATP-dependent degradation of ubiquitinated proteins. The function of the ‘Lys-63’-specific deubiquitination of the proteasome is unclear. |
| Specification | |
|---|---|
| Aliases | 26S proteasome non-ATPase regulatory subunit 14; PAD1; POH1; Psmd14; RPN11 |
| Entrez GeneID | 10213 |
| Swissprot | O00487 |
| WB Predicted band size | Calculated MW: 35 kDa; Observed MW: 35 kDa |
| Host/Isotype | Rabbit IgG |
| Storage | Store at 4°C short term. Aliquot and store at -20°C long term. Avoid freeze/thaw cycles. |
| Species Reactivity | Human,Mouse,Rat,Monkey |
| Immunogen | A synthetic peptide of human PSMD14 |
| Formulation | 50mM Tris-Glycine(pH 7.4), 0.15M NaCl, 40% Glycerol, 0.01% Sodium azide and 0.05% BSA |
| Application | |
|---|---|
| WB | 1/500-1/1000 |
| IHC | 1/50-1/100 |
| ICC | 1/50-1/200 |
![]() |
Western blot analysis of PSMD14 in Raw264.7, 3T3 lysates using PSMD14 antibody. |
![]() |
Western blot analysis of PSMD14 in Hela, COS7, PC-12 lysates using PSMD14 antibody. |
![]() |
Immunocytochemistry analysis of PSMD14(green) in Hela using PSMD14 antibody,and DAPI(blue) |
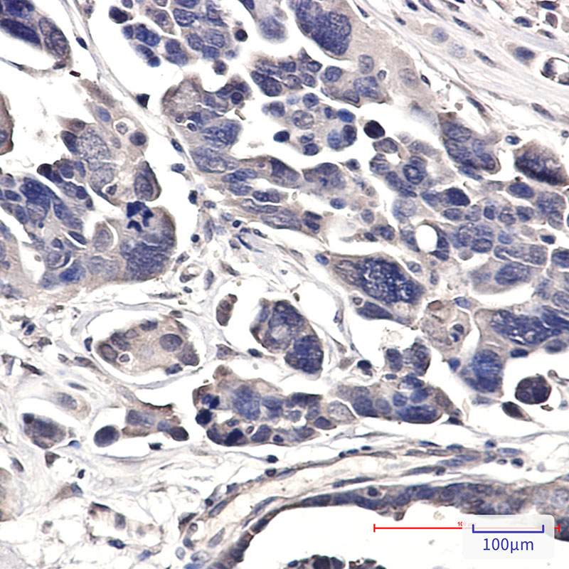
![]() |
Immunohistochemistry analysis of paraffin-embedded Human Cholangiocarcinoma using PSMD14 antibody.High-pressure and temperature Sodium Citrate pH 6.0 was used for antigen retrieval. |
本公司的所有产品仅用于科学研究或者工业应用等非医疗目的,不可用于人类或动物的临床诊断或治疗,非药用,非食用。
暂无评论
本公司的所有产品仅用于科学研究或者工业应用等非医疗目的,不可用于人类或动物的临床诊断或治疗,非药用,非食用。
中文




发表回复