别名:S10, Rpn7, p42A, p44S10, SGA-113M应用:WB,IHC
反应种属:Human, Mouse
规格:50μl/100μl
| Description |
|---|
| This gene encodes a member of the protease subunit S10 family. The encoded protein is a subunit of the 26S proteasome which colocalizes with DNA damage foci and is involved in the ATP-dependent degradation of ubiquinated proteins. Alternative splicing results in multiple transcript variants. |
| Specification | |
|---|---|
| Aliases | S10, Rpn7, p42A, p44S10, SGA-113M |
| Swissprot | Q15008 |
| WB Predicted band size | 49 kDa; 46 kDa |
| Host/Isotype | Rabbit IgG |
| Storage | Store at 4°C short term. Aliquot and store at -20°C long term. Avoid freeze/thaw cycles. |
| Species Reactivity | Human, Mouse |
| Immunogen | Synthetic peptide of human PSMD6 |
| Formulation | pH7.4 PBS, 0.05% NaN3, 40% Glycerol |
| Application | |
|---|---|
| WB | 1/500-1/2000 |
| IHC | 1/50-1/200 |
| ELISA | 1/2000-1/10000 |
![]() |
Gel: 10%SDS-PAGE, Lysate: 40 μg, Lane 1-4: Hela cells, 293T cells, NIH/3T3 cells, Jurkat cells, Primary antibody: P04429(PSMD6 Antibody) at dilution 1/650, Secondary antibody: Goat anti rabbit IgG at 1/8000 dilution, Exposure time: 1 minute |
![]() |
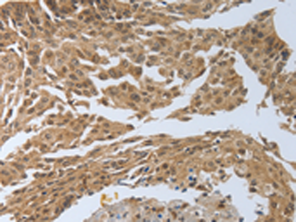
The image is immunohistochemistry of paraffin-embedded Human cervical cancer tissue using P04429(PSMD6 Antibody) at dilution 1/40. (Original magnification: ×200) |
![]() |
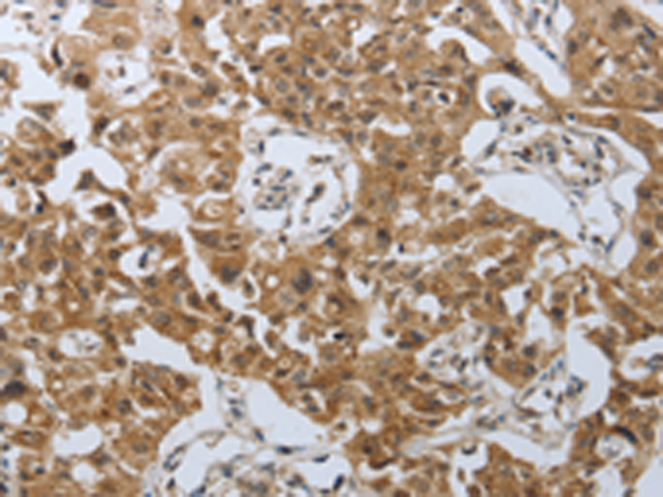
The image is immunohistochemistry of paraffin-embedded Human lung cancer tissue using P04429(PSMD6 Antibody) at dilution 1/40. (Original magnification: ×200) |
本公司的所有产品仅用于科学研究或者工业应用等非医疗目的,不可用于人类或动物的临床诊断或治疗,非药用,非食用。
暂无评论
本公司的所有产品仅用于科学研究或者工业应用等非医疗目的,不可用于人类或动物的临床诊断或治疗,非药用,非食用。
中文



发表回复