别名:Very-long-chain (3R)-3-hydroxyacyl-CoA dehydratase 2, 3-hydroxyacyl-CoA dehydratase 2, HACD2, Protein-tyrosine phosphatase-like member B, PTPLB, HACD2应用:WB,IHC,FCM
反应种属:Human
规格:50μl/100μl
| Description |
|---|
| PTPLB is probable anti-phosphatase. |
| Specification | |
|---|---|
| Aliases | Very-long-chain (3R)-3-hydroxyacyl-CoA dehydratase 2, 3-hydroxyacyl-CoA dehydratase 2, HACD2, Protein-tyrosine phosphatase-like member B, PTPLB, HACD2 |
| Entrez GeneID | 201562 |
| Swissprot | Q6Y1H2 |
| WB Predicted band size | 28.4kDa |
| Host/Isotype | Rabbit IgG |
| Storage | Store at 4°C short term. Aliquot and store at -20°C long term. Avoid freeze/thaw cycles. |
| Species Reactivity | Human |
| Immunogen | This PTPLB antibody is generated from rabbits immunized with a KLH conjugated synthetic peptide between 226-254 amino acids from the C-terminal region of human PTPLB. |
| Formulation | Purified polyclonal antibody supplied in PBS with 0.05% sodium azide. This antibody is purified through a protein A column, followed by peptide affinity purification. |
| Application | |
|---|---|
| WB | 1/1000 |
| IHC | 1/100-1/500 |
| FCM | 1/10-1/50 |
![]() |
Western blot analysis of lysate from MCF-7 cell line, using PTPLB Antibody (C-term)(Cat. #P30617). P30617 was diluted at 1:1000 at each lane. A goat anti-rabbit IgG H&L(HRP) at 1:5000 dilution was used as the secondary antibody. Lysate at 35ug per lane. |
![]() |
PTPLB Antibody (C-term) (Cat. #P30617) flow cytometric analysis of Hela cells (right histogram) compared to a negative control cell (left histogram).FITC-conjugated goat-anti-rabbit secondary antibodies were used for the analysis. |
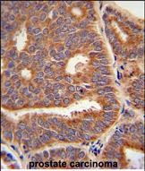
![]() |
PTPLB Antibody (C-term) (Cat. #P30617) immunohistochemistry analysis in formalin fixed and paraffin embedded human prostate carcinoma followed by peroxidase conjugation of the secondary antibody and DAB staining. This data demonstrates the use of the PTPLB Antibody (C-term) for immunohistochemistry. Clinical relevance has not been evaluated. |
本公司的所有产品仅用于科学研究或者工业应用等非医疗目的,不可用于人类或动物的临床诊断或治疗,非药用,非食用。
暂无评论
本公司的所有产品仅用于科学研究或者工业应用等非医疗目的,不可用于人类或动物的临床诊断或治疗,非药用,非食用。
中文



发表回复