别名:PNP1; FAP-1; PTP1E; PTPL1; PTPLE; PTP-BL; hPTP1E; PTP-BAS应用:IHC
反应种属:Human
规格:50μl/100μl
| Description |
|---|
| The protein encoded by this gene is a member of the protein tyrosine phosphatase (PTP) family. PTPs are signaling molecules that regulate a variety of cellular processes including cell growth, differentiation, mitotic cycle, and oncogenic transformation. This PTP is a large intracellular protein. It has a catalytic PTP domain at its C-terminus and two major structural domains: a region with five PDZ domains and a FERM domain that binds to plasma membrane and cytoskeletal elements. This PTP was found to interact with, and dephosphorylate, Fas receptor and IkappaBalpha through the PDZ domains. This suggests it has a role in Fas mediated programmed cell death. This PTP was also shown to interact with GTPase-activating protein, and thus may function as a regulator of Rho signaling pathways. Four alternatively spliced transcript variants, which encode distinct proteins, have been reported. |
| Specification | |
|---|---|
| Aliases | PNP1; FAP-1; PTP1E; PTPL1; PTPLE; PTP-BL; hPTP1E; PTP-BAS |
| Swissprot | Q12923 |
| Host/Isotype | Rabbit IgG |
| Storage | Store at 4°C short term. Aliquot and store at -20°C long term. Avoid freeze/thaw cycles. |
| Species Reactivity | Human |
| Immunogen | Synthetic peptide of human PTPN13 |
| Formulation | pH7.4 PBS, 0.05% NaN3, 40% Glycerol |
| Application | |
|---|---|
| IHC | 1/25-1/100 |
| ELISA | 1/1000-1/2000 |
![]() |
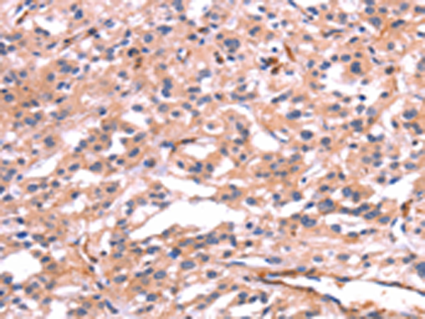
The image is immunohistochemistry of paraffin-embedded Human cervical cancer tissue using P04870(PTPN13 Antibody) at dilution 1/30. (Original magnification: ×200) |
![]() |
The image is immunohistochemistry of paraffin-embedded Human thyroid cancer tissue using P04870(PTPN13 Antibody) at dilution 1/30. (Original magnification: ×200) |
本公司的所有产品仅用于科学研究或者工业应用等非医疗目的,不可用于人类或动物的临床诊断或治疗,非药用,非食用。
暂无评论
本公司的所有产品仅用于科学研究或者工业应用等非医疗目的,不可用于人类或动物的临床诊断或治疗,非药用,非食用。
中文


发表回复