别名:CT126; PTPN20A; PTPN20B; bA42B19.1; bA142I17.1应用:WB,IHC
反应种属:Human
规格:50μl/100μl
| Description |
|---|
| The product of this gene belongs to the family of classical tyrosine-specific protein tyrosine phosphatases. Many protein tyrosine phosphatases have been shown to regulate fundamental cellular processes. The encoded protein appears to be targeted to sites of actin polymerization. A pseudogene of this gene has been defined on chromosome 10. Alternative splicing results in multiple transcript variants. [provided by RefSeq, Apr 2014] |
| Specification | |
|---|---|
| Aliases | CT126; PTPN20A; PTPN20B; bA42B19.1; bA142I17.1 |
| Swissprot | Q4JDL3 |
| WB Predicted band size | 48 kDa |
| Host/Isotype | Rabbit IgG |
| Storage | Store at 4°C short term. Aliquot and store at -20°C long term. Avoid freeze/thaw cycles. |
| Species Reactivity | Human |
| Immunogen | Synthetic peptide of human PTPN20 |
| Formulation | pH7.4 PBS, 0.05% NaN3, 40% Glycerol |
| Application | |
|---|---|
| WB | 1/500-1/2000 |
| IHC | 1/50-1/300 |
| ELISA | 1/2000-1/5000 |
![]() |
Gel: 8%SDS-PAGE, Lysate: 40 μg, Lane 1-2: K562 cells, human testis tissue, Primary antibody: P12083(PTPN20 Antibody) at dilution 1/200, Secondary antibody: Goat anti rabbit IgG at 1/8000 dilution, Exposure time: 1 minute |
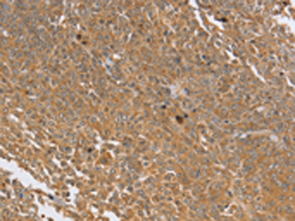
![]() |
The image is immunohistochemistry of paraffin-embedded Human cervical cancer tissue using P12083(PTPN20 Antibody) at dilution 1/30. (Original magnification: ×200) |
![]() |
The image is immunohistochemistry of paraffin-embedded Human ovarian cancer tissue using P12083(PTPN20 Antibody) at dilution 1/30. (Original magnification: ×200) |
本公司的所有产品仅用于科学研究或者工业应用等非医疗目的,不可用于人类或动物的临床诊断或治疗,非药用,非食用。
暂无评论
本公司的所有产品仅用于科学研究或者工业应用等非医疗目的,不可用于人类或动物的临床诊断或治疗,非药用,非食用。
中文



发表回复