别名:TSG-14; TNFAIP5应用:WB,IHC
反应种属:Human, Mouse
规格:50μl/100μl
| Description |
|---|
| Ptx3, also known as tumor necrosis factor-stimulated gene sequence-14 (TSG14), is a secreted pattern-recognition receptor that has a non-redundant role in resistance to selected microbial agents. Ptx3 belongs to the family of “long pentraxins”, which have C-terminal pentraxin domains and novel amino-terminal domains. Ptx3 binds selected pathogens, including Aspergillus fumigatus, Pseudomonas aeruginosa and Salmonella typhimurium. It is synthesized in IgA glomerulonephritis and activates mesangial cells. |
| Specification | |
|---|---|
| Aliases | TSG-14; TNFAIP5 |
| Swissprot | P26022 |
| WB Predicted band size | 42 kDa |
| Host/Isotype | Rabbit IgG |
| Storage | Store at 4°C short term. Aliquot and store at -20°C long term. Avoid freeze/thaw cycles. |
| Species Reactivity | Human, Mouse |
| Immunogen | Synthetic peptide of human PTX3 |
| Formulation | pH7.4 PBS, 0.05% NaN3, 40% Glycerol |
| Application | |
|---|---|
| WB | 1/500-1/2000 |
| IHC | 1/10-1/50 |
| ELISA | 1/2000-1/5000 |
![]() |
Gel: 8%SDS-PAGE, Lysate: 40 μg, Lane: Hepg2 cells, Primary antibody: P12308(PTX3 Antibody) at dilution 1/400, Secondary antibody: Goat anti rabbit IgG at 1/8000 dilution, Exposure time: 40 seconds |
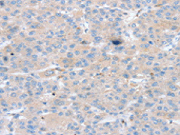
![]() |
The image is immunohistochemistry of paraffin-embedded Human liver cancer tissue using P12308(PTX3 Antibody) at dilution 1/25. (Original magnification: ×200) |
![]() |
The image is immunohistochemistry of paraffin-embedded Human brain tissue using P12308(PTX3 Antibody) at dilution 1/25. (Original magnification: ×200) |
本公司的所有产品仅用于科学研究或者工业应用等非医疗目的,不可用于人类或动物的临床诊断或治疗,非药用,非食用。
暂无评论
本公司的所有产品仅用于科学研究或者工业应用等非医疗目的,不可用于人类或动物的临床诊断或治疗,非药用,非食用。
中文



发表回复