别名:PEN; HA-8; PUF6; XTP5; PUF-A; HLA-HA8; KIAA0020应用:WB,IHC
反应种属:Human
规格:50μl/100μl
| Description |
|---|
| Inhibits the poly(ADP-ribosyl)ation activity of PARP1 and the degradation of PARP1 by CASP3 following genotoxic stress (PubMed:21266351). Binds to double-stranded RNA or DNA without sequence specificity (PubMed:25512524). Involved in development of the eye and of primordial germ cells (By similarity). |
| Specification | |
|---|---|
| Aliases | PEN; HA-8; PUF6; XTP5; PUF-A; HLA-HA8; KIAA0020 |
| Swissprot | Q15397 |
| WB Predicted band size | 74 kDa |
| Host/Isotype | Rabbit IgG |
| Storage | Store at 4°C short term. Aliquot and store at -20°C long term. Avoid freeze/thaw cycles. |
| Species Reactivity | Human |
| Immunogen | Synthetic peptide of human PUM3 |
| Formulation | pH7.4 PBS, 0.05% NaN3, 40% Glycerol |
| Application | |
|---|---|
| WB | 1/1000-1/5000 |
| IHC | 1/50-1/200 |
| ELISA | 1/5000-1/10000 |
![]() |
Gel: 8%SDS-PAGE, Lysate: 40 μg, Lane: Raji cell lysate , Primary antibody: P13703(PUM3 Antibody) at dilution 1/800, Secondary antibody: Goat anti rabbit IgG at 1/5000 dilution, Exposure time: 1 minute |
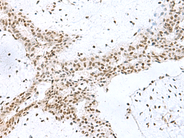
![]() |
The image is immunohistochemistry of paraffin-embedded Human breast cancer tissue using P13703(PUM3 Antibody) at dilution 1/80. (Original magnification: ×200) |
本公司的所有产品仅用于科学研究或者工业应用等非医疗目的,不可用于人类或动物的临床诊断或治疗,非药用,非食用。
暂无评论
本公司的所有产品仅用于科学研究或者工业应用等非医疗目的,不可用于人类或动物的临床诊断或治疗,非药用,非食用。
中文


发表回复