别名:Peroxisome biogenesis factor 2, 35 kDa peroxisomal membrane protein, Peroxin-2, Peroxisomal membrane protein 3, Peroxisome assembly factor 1, PAF-1, RING finger protein 72, PEX2, PAF1, PMP3, PMP35, PXMP3, RNF72应用:WB,IHC,FCM
反应种属:Human, Mouse
规格:50μl/100μl
| Description |
|---|
| PXMP3 encodes an integral peroxisomal membrane protein required for peroxisome biogenesis. The protein is thought to be involved in peroxisomal matrix protein import. |
| Specification | |
|---|---|
| Aliases | Peroxisome biogenesis factor 2, 35 kDa peroxisomal membrane protein, Peroxin-2, Peroxisomal membrane protein 3, Peroxisome assembly factor 1, PAF-1, RING finger protein 72, PEX2, PAF1, PMP3, PMP35, PXMP3, RNF72 |
| Entrez GeneID | 5828 |
| Swissprot | P28328 |
| WB Predicted band size | 34.8kDa |
| Host/Isotype | Rabbit IgG |
| Storage | Store at 4°C short term. Aliquot and store at -20°C long term. Avoid freeze/thaw cycles. |
| Species Reactivity | Human, Mouse |
| Immunogen | This PXMP3 antibody is generated from rabbits immunized with a KLH conjugated synthetic peptide between 165-194 amino acids from the Central region of human PXMP3. |
| Formulation | Purified polyclonal antibody supplied in PBS with 0.05% sodium azide. This antibody is purified through a protein A column, followed by peptide affinity purification. |
| Application | |
|---|---|
| WB | 1/1000 |
| IHC | 1/100-1/500 |
| FCM | 1/10-1/50 |
![]() |
Western blot analysis of PXMP3 Antibody (Center) (Cat. #P30467) in mouse cerebellum tissue lysates (35ug/lane). PXMP3 (arrow) was detected using the purified Pab. |
![]() |
PXMP3 Antibody (Center) (Cat. #P30467) flow cytometric analysis of WiDr cells (right histogram) compared to a negative control cell (left histogram).FITC-conjugated goat-anti-rabbit secondary antibodies were used for the analysis. |
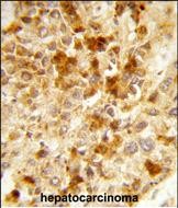
![]() |
Formalin-fixed and paraffin-embedded human hepatocarcinoma reacted with PXMP3 Antibody (Center), which was peroxidase-conjugated to the secondary antibody, followed by DAB staining. This data demonstrates the use of this antibody for immunohistochemistry; clinical relevance has not been evaluated. |
本公司的所有产品仅用于科学研究或者工业应用等非医疗目的,不可用于人类或动物的临床诊断或治疗,非药用,非食用。
暂无评论
本公司的所有产品仅用于科学研究或者工业应用等非医疗目的,不可用于人类或动物的临床诊断或治疗,非药用,非食用。
中文



发表回复