别名:Pyrroline-5-carboxylate reductase 1, mitochondrial, P5C reductase 1, P5CR 1, PYCR1应用:WB,IHC,FCM
反应种属:Human
规格:50μl/100μl
| Description |
|---|
| This gene encodes an enzyme that catalyzes the NAD(P)H-dependent conversion of pyrroline-5-carboxylate to proline. This enzyme may also play a physiologic role in the generation of NADP(+) in some cell types. The protein forms a homopolymer and localizes to the mitochondrion. |
| Specification | |
|---|---|
| Aliases | Pyrroline-5-carboxylate reductase 1, mitochondrial, P5C reductase 1, P5CR 1, PYCR1 |
| Entrez GeneID | 5831 |
| Swissprot | P32322 |
| WB Predicted band size | 33.4kDa |
| Host/Isotype | Rabbit IgG |
| Storage | Store at 4°C short term. Aliquot and store at -20°C long term. Avoid freeze/thaw cycles. |
| Species Reactivity | Human |
| Immunogen | This PYCR1 antibody is generated from rabbits immunized with a KLH conjugated synthetic peptide between 291-319 amino acids from the C-terminal region of human PYCR1. |
| Formulation | Purified polyclonal antibody supplied in PBS with 0.05% sodium azide. This antibody is purified through a protein A column, followed by peptide affinity purification. |
| Application | |
|---|---|
| WB | 1/1000 |
| IHC | 1/100-1/500 |
| FCM | 1/10-1/50 |
![]() |
PYCR1 Antibody (C-term) (Cat. #P30582) western blot analysis in K562,WiDr,HepG2 cell line lysates (35ug/lane).This demonstrates the PYCR1 antibody detected the PYCR1 protein (arrow). |
![]() |
PYCR1 Antibody (C-term) (Cat. #P30582) flow cytometric analysis of HepG2 cells (right histogram) compared to a negative control cell (left histogram).FITC-conjugated goat-anti-rabbit secondary antibodies were used for the analysis. |
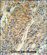
![]() |
PYCR1 Antibody (C-term) (Cat. #P30582) IHC analysis in formalin fixed and paraffin embedded colon carcinoma followed by peroxidase conjugation of the secondary antibody and DAB staining. This data demonstrates the use of the PYCR1 Antibody (C-term) for immunohistochemistry. Clinical relevance has not been evaluated. |
本公司的所有产品仅用于科学研究或者工业应用等非医疗目的,不可用于人类或动物的临床诊断或治疗,非药用,非食用。
暂无评论
本公司的所有产品仅用于科学研究或者工业应用等非医疗目的,不可用于人类或动物的临床诊断或治疗,非药用,非食用。
中文



发表回复