别名:Nicotinate-nucleotide pyrophosphorylase [carboxylating], Quinolinate phosphoribosyltransferase [decarboxylating], QAPRTase, QPRTase, QPRT应用:WB,IHC
反应种属:Human
规格:50μl/100μl
| Description |
|---|
| This gene encodes a key enzyme in catabolism of quinolinate, an intermediate in the tryptophan-nicotinamide adenine dinucleotide pathway. Quinolinate acts as a most potent endogenous exitotoxin to neurons. Elevation of quinolinate levels in the brain has been linked to the pathogenesis of neurodegenerative disorders such as epilepsy, Alzheimer’s disease, and Huntington’s disease. |
| Specification | |
|---|---|
| Aliases | Nicotinate-nucleotide pyrophosphorylase [carboxylating], Quinolinate phosphoribosyltransferase [decarboxylating], QAPRTase, QPRTase, QPRT |
| Entrez GeneID | 23475 |
| Swissprot | Q15274 |
| WB Predicted band size | 30.8kDa |
| Host/Isotype | Rabbit IgG |
| Storage | Store at 4°C short term. Aliquot and store at -20°C long term. Avoid freeze/thaw cycles. |
| Species Reactivity | Human |
| Immunogen | This QPRT antibody is generated from rabbits immunized with a KLH conjugated synthetic peptide between 206-234 amino acids from the C-terminal region of human QPRT. |
| Formulation | Purified polyclonal antibody supplied in PBS with 0.05% sodium azide. This antibody is purified through a protein A column, followed by peptide affinity purification. |
| Application | |
|---|---|
| WB | 1/1000 |
| IHC | 1/100-1/500 |
![]() |
QPRT Antibody (C-term) (Cat. #P31459) western blot analysis in human placenta tissue lysates (35ug/lane).This demonstrates the QPRT antibody detected the QPRT protein (arrow). |
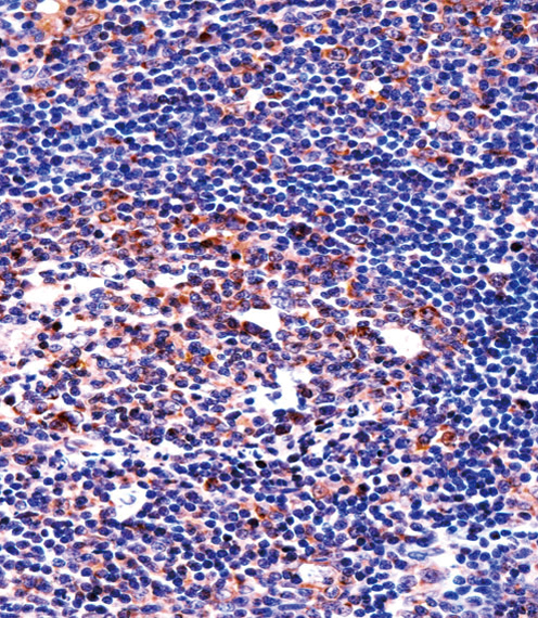
![]() |
QPRT Antibody (C-term) (P31459)immunohistochemistry analysis in formalin fixed and paraffin embedded human tonsil tissue followed by peroxidase conjugation of the secondary antibody and DAB staining.This data demonstrates the use of QPRT Antibody (C-term) for immunohistochemistry. Clinical relevance has not been evaluated. |
本公司的所有产品仅用于科学研究或者工业应用等非医疗目的,不可用于人类或动物的临床诊断或治疗,非药用,非食用。
暂无评论
本公司的所有产品仅用于科学研究或者工业应用等非医疗目的,不可用于人类或动物的临床诊断或治疗,非药用,非食用。
中文


发表回复