别名:Cyclin-dependent kinase 4, Cell division protein kinase 4, PSK-J3, Cdk4应用:WB,IHC,ICC
反应种属:Human, Mouse, Rat
规格:50μl/100μl
| Description |
|---|
| Ser/Thr-kinase component of cyclin D-CDK4 (DC) complexes that phosphorylate and inhibit members of the retinoblastoma (RB) protein family including RB1 and regulate the cell-cycle during G(1)/S transition. Phosphorylation of RB1 allows dissociation of the transcription factor E2F from the RB/E2F complexes and the subsequent transcription of E2F target genes which are responsible for the progression through the G(1) phase. Hypophosphorylates RB1 in early G(1) phase. Cyclin D-CDK4 complexes are major integrators of various mitogenenic and antimitogenic signals. Also phosphorylates SMAD3 in a cell-cycle-dependent manner and represses its transcriptional activity. Component of the ternary complex, cyclin D/CDK4/CDKN1B, required for nuclear translocation and activity of the cyclin D-CDK4 complex (By similarity). |
| Specification | |
|---|---|
| Aliases | Cyclin-dependent kinase 4, Cell division protein kinase 4, PSK-J3, Cdk4 |
| Entrez GeneID | 94201 |
| Swissprot | P35426 |
| WB Predicted band size | 33.8kDa |
| Host/Isotype | Rabbit IgG |
| Storage | Store at 4°C short term. Aliquot and store at -20°C long term. Avoid freeze/thaw cycles. |
| Species Reactivity | Human, Mouse, Rat |
| Immunogen | This Rat Cdk4 antibody is generated from rabbits immunized with a KLH conjugated synthetic peptide between 272-303 amino acids from the C-terminal region of rat Cdk4. |
| Formulation | Purified polyclonal antibody supplied in PBS with 0.05% sodium azide. This antibody is purified through a protein A column, followed by peptide affinity purification. |
| Application | |
|---|---|
| WB | 1/1000 |
| IHC | 1/100-1/500 |
| ICC | 1/25 |
![]() |
Rat Cdk4 Antibody (C-term) (Cat. #P32538) western blot analysis in rat lung tissue lysates (35ug/lane).This demonstrates the rat Cdk4 antibody detected the rat Cdk4 protein (arrow). |
![]() |
Fluorescent image of MCF-7 cells stained with (Rat) Cdk4 Antibody (C-term)(Cat#P32538). P32538 was diluted at 1:25 dilution. An Alexa Fluor 488-conjugated goat anti-rabbit lgG at 1:400 dilution was used as the secondary antibody (green). Cytoplasmic actin was counterstained with Alexa Fluor® 555 conjugated with Phalloidin (red). |
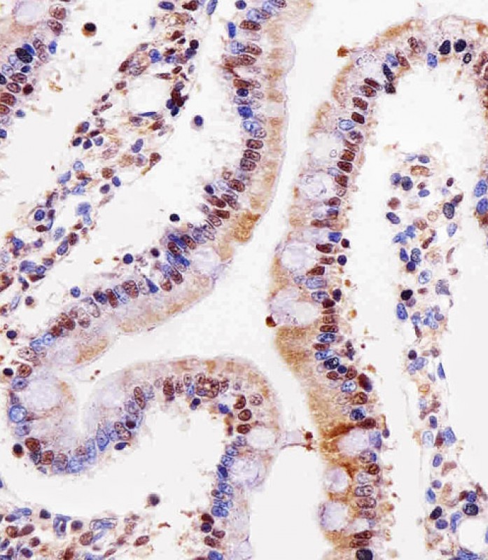
![]() |
Immunohistochemical analysis of paraffin-embedded rat small intestine section using Rat Cdk4 Antibody (C-term)(Cat#P32538). P32538 was diluted at 1:25 dilution. A undiluted biotinylated goat polyvalent antibody was used as the secondary, followed by DAB staining. |
本公司的所有产品仅用于科学研究或者工业应用等非医疗目的,不可用于人类或动物的临床诊断或治疗,非药用,非食用。
暂无评论
本公司的所有产品仅用于科学研究或者工业应用等非医疗目的,不可用于人类或动物的临床诊断或治疗,非药用,非食用。
中文



发表回复