别名:应用:IHC
反应种属:Human
规格:50μl/100μl
| Description |
|---|
| This gene encodes a small GTP-binding protein that belongs to the largest family within the Ras superfamily. These proteins function as regulators of membrane trafficking. They cycle between inactive GDP-bound and activated GTP-bound states, which is controlled by GTP hydrolysis-activating proteins (GAPs). This family member can be activated by the GAP protein RN-Tre, and it is localized to the Golgi complex. |
| Specification | |
|---|---|
| Swissprot | Q5JT25 |
| Host/Isotype | Rabbit IgG |
| Storage | Store at 4°C short term. Aliquot and store at -20°C long term. Avoid freeze/thaw cycles. |
| Species Reactivity | Human |
| Immunogen | Synthetic peptide of human RAB41 |
| Formulation | pH7.4 PBS, 0.05% NaN3, 40% Glycerol |
| Application | |
|---|---|
| IHC | 1/100-1/200 |
| ELISA | 1/2000-1/10000 |
![]() |
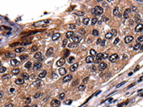
The image is immunohistochemistry of paraffin-embedded Human cervical cancer tissue using P03729(RAB41 Antibody) at dilution 1/100. (Original magnification: ×200) |
![]() |
The image is immunohistochemistry of paraffin-embedded Human renal cancer tissue using P03729(RAB41 Antibody) at dilution 1/100. (Original magnification: ×200) |
本公司的所有产品仅用于科学研究或者工业应用等非医疗目的,不可用于人类或动物的临床诊断或治疗,非药用,非食用。
暂无评论
本公司的所有产品仅用于科学研究或者工业应用等非医疗目的,不可用于人类或动物的临床诊断或治疗,非药用,非食用。
中文


发表回复