别名:RAB5A; RAB5; RAS associated protein RAB5A; Ras related protein Rab 5A应用:WB,IHC
反应种属:Human,Mouse,Rat
规格:50μl/100μl
| Description |
|---|
| Rab5 is a member of the Ras superfamily of small Rab GTPases. Rab5 is localized at the plasma membrane and early endosomes and functions as a key regulator of vesicular trafficking during early endocytosis (1). The conformational change between Rab5 GTP/GDP states is essential for its biological function as a rate limiting regulator at multiple steps during endocytosis. |
| Specification | |
|---|---|
| Aliases | RAB5A; RAB5; RAS associated protein RAB5A; Ras related protein Rab 5A |
| Entrez GeneID | 5868 |
| Swissprot | P20339 |
| WB Predicted band size | Calculated MW: 24 kDa; Observed MW: 24 kDa |
| Host/Isotype | Rabbit IgG |
| Storage | Store at 4°C short term. Aliquot and store at -20°C long term. Avoid freeze/thaw cycles. |
| Species Reactivity | Human,Mouse,Rat |
| Immunogen | A synthesized peptide derived from human Rab5 |
| Formulation | Rabbit IgG in phosphate buffered saline , pH 7.4, 150mM NaCl, 0.02% sodium azide and 50% glycerol. |
| Application | |
|---|---|
| WB | 1/500-1/1000 |
| IHC | 1/50-1/100 |
![]() |
Western blot analysis of Rab5 in MCF-7 lysates using Rab5 antibody. |
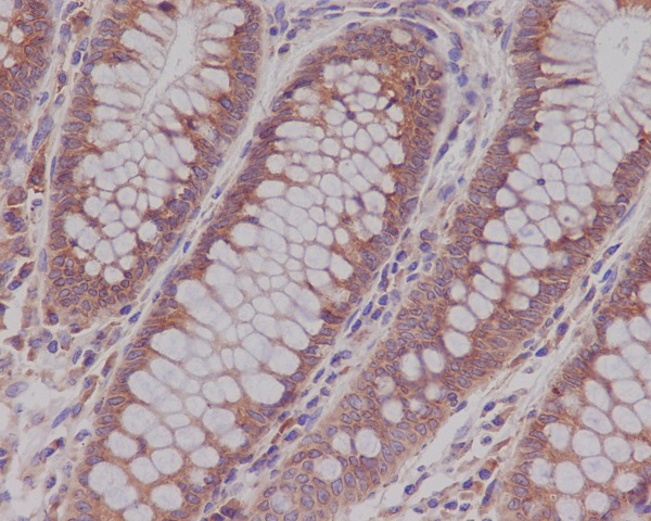
![]() |
Immunohistochemistry analysis of paraffin-embedded Human colon using Rab5 antibody.High-pressure and temperature Sodium Citrate pH 6.0 was used for antigen retrieval. |
本公司的所有产品仅用于科学研究或者工业应用等非医疗目的,不可用于人类或动物的临床诊断或治疗,非药用,非食用。
暂无评论
本公司的所有产品仅用于科学研究或者工业应用等非医疗目的,不可用于人类或动物的临床诊断或治疗,非药用,非食用。
中文


发表回复