别名:RAB7; PRO2706应用:WB,IHC,ICC,FCM
反应种属:Human,Mouse,Rat
规格:50μl/100μl
| Description |
|---|
| Plays a role in the fusion of phagosomes with lysosomes. Plays important roles in microbial pathogen infection and survival, as well as in participating in the life cycle of viruses. Microbial pathogens possess survival strategies governed by RAB7A, sometimes by employing RAB7A function (e.g. Salmonella) and sometimes by excluding RAB7A function. |
| Specification | |
|---|---|
| Aliases | RAB7; PRO2706 |
| Entrez GeneID | 7879 |
| Swissprot | P51149 |
| WB Predicted band size | Calculated MW: 23 kDa; Observed MW: 23 kDa |
| Host/Isotype | Rabbit IgG |
| Storage | Store at 4°C short term. Aliquot and store at -20°C long term. Avoid freeze/thaw cycles. |
| Species Reactivity | Human,Mouse,Rat |
| Immunogen | A synthesized peptide derived from human RAB7 |
| Formulation | Rabbit IgG in phosphate buffered saline , pH 7.4, 150mM NaCl, 0.02% sodium azide and 50% glycerol. |
| Application | |
|---|---|
| WB | 1/500-1/1000 |
| IHC | 1/50-1/100 |
| ICC | 1/50-1/200 |
| FCM | 1/50-1/100 |
![]() |
Western blot analysis of RAB7 in (1) A375 lysates; (2) 3T3 lysates using Rab7 antibody. |
![]() |
Immunofluorescence analysis of Rab7 in Hela using RAB7 antibody. |
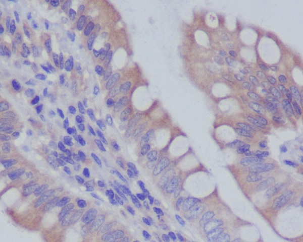
![]() |
Immunohistochemistry analysis of paraffin-embedded Human colon using RAB7 antibody.High-pressure and temperature Sodium Citrate pH 6.0 was used for antigen retrieval. |
本公司的所有产品仅用于科学研究或者工业应用等非医疗目的,不可用于人类或动物的临床诊断或治疗,非药用,非食用。
暂无评论
本公司的所有产品仅用于科学研究或者工业应用等非医疗目的,不可用于人类或动物的临床诊断或治疗,非药用,非食用。
中文



发表回复