别名:Prenylated Rab acceptor protein 1, PRA1 family protein 1, RABAC1, PRA1, PRAF1应用:WB,IHC,FCM
反应种属:Human
规格:50μl/100μl
| Description |
|---|
| RABAC1 is general Rab protein regulator required for vesicle formation from the Golgi complex. May control vesicle docking and fusion by mediating the action of Rab GTPases to the SNARE complexes. In addition it inhibits the removal of Rab GTPases from the membrane by GDI. |
| Specification | |
|---|---|
| Aliases | Prenylated Rab acceptor protein 1, PRA1 family protein 1, RABAC1, PRA1, PRAF1 |
| Entrez GeneID | 10567 |
| Swissprot | Q9UI14 |
| WB Predicted band size | 20.6kDa |
| Host/Isotype | Rabbit IgG |
| Storage | Store at 4°C short term. Aliquot and store at -20°C long term. Avoid freeze/thaw cycles. |
| Species Reactivity | Human |
| Immunogen | This RABAC1 antibody is generated from rabbits immunized with a KLH conjugated synthetic peptide between 1-30 amino acids from the N-terminal region of human RABAC1. |
| Formulation | Purified polyclonal antibody supplied in PBS with 0.05% sodium azide. This antibody is purified through a protein A column, followed by peptide affinity purification. |
| Application | |
|---|---|
| WB | 1/1000 |
| IHC | 1/100-1/500 |
| FCM | 1/10-1/50 |
![]() |
Western blot analysis of RABAC1 Antibody (N-term) (Cat. #P30448) in mouse bladder tissue lysates (35ug/lane). RABAC1 (arrow) was detected using the purified Pab. |
![]() |
RABAC1 Antibody (N-term) (Cat. #P30448) flow cytometric analysis of 293 cells (right histogram) compared to a negative control cell (left histogram).FITC-conjugated goat-anti-rabbit secondary antibodies were used for the analysis. |
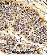
![]() |
Formalin-fixed and paraffin-embedded human lung carcinoma reacted with RABAC1 Antibody (N-term), which was peroxidase-conjugated to the secondary antibody, followed by DAB staining. This data demonstrates the use of this antibody for immunohistochemistry; clinical relevance has not been evaluated. |
本公司的所有产品仅用于科学研究或者工业应用等非医疗目的,不可用于人类或动物的临床诊断或治疗,非药用,非食用。
暂无评论
本公司的所有产品仅用于科学研究或者工业应用等非医疗目的,不可用于人类或动物的临床诊断或治疗,非药用,非食用。
中文



发表回复