别名:RAD51; RAD51A; RECA; DNA repair protein RAD51 homolog 1; HsRAD51; hRAD51; RAD51 homolog A应用:WB,IHC,ICC,FCM,IP
反应种属:Human,Mouse,Rat
规格:50μl/100μl
| Description |
|---|
| Rad51 participates in a common DNA damage response pathway associated with the activation of homologous recombination and double-strand break repair. Binds to single and double-stranded DNA and exhibits DNA-dependent ATPase activity. Underwinds duplex DNA and forms helical nucleoprotein filaments. |
| Specification | |
|---|---|
| Aliases | RAD51; RAD51A; RECA; DNA repair protein RAD51 homolog 1; HsRAD51; hRAD51; RAD51 homolog A |
| Entrez GeneID | 5888 |
| Swissprot | Q06609 |
| WB Predicted band size | Calculated MW: 37 kDa; Observed MW: 37 kDa |
| Host/Isotype | Rabbit IgG |
| Storage | Store at 4°C short term. Aliquot and store at -20°C long term. Avoid freeze/thaw cycles. |
| Species Reactivity | Human,Mouse,Rat |
| Immunogen | A synthesized peptide derived from human Rad51 |
| Formulation | Rabbit IgG in phosphate buffered saline , pH 7.4, 150mM NaCl, 0.02% sodium azide and 50% glycerol. |
| Application | |
|---|---|
| IP | 1/20 |
| WB | 1/500-1/1000 |
| IHC | 1/50-1/100 |
| ICC | 1/50-1/200 |
| FCM | 1/50-1/100 |
![]() |
Western blot analysis of Rad51 in (1)HEK293 lysates; (2)K562 lysates using Rad51 antibody. |
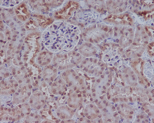
![]() |
Immunohistochemistry analysis of paraffin-embedded mouse kidney using Rad51 antibody.High-pressure and temperature Sodium Citrate pH 6.0 was used for antigen retrieval. |
本公司的所有产品仅用于科学研究或者工业应用等非医疗目的,不可用于人类或动物的临床诊断或治疗,非药用,非食用。
暂无评论
本公司的所有产品仅用于科学研究或者工业应用等非医疗目的,不可用于人类或动物的临床诊断或治疗,非药用,非食用。
中文


发表回复