别名:Cell cycle checkpoint control protein RAD9A, hRAD9, DNA repair exonuclease rad9 homolog A, RAD9A应用:WB,IHC
反应种属:Human
规格:50μl/100μl
| Description |
|---|
| This gene product is highly similar to Schizosaccharomyces pombe rad9, a cell cycle checkpoint protein required for cell cycle arrest and DNA damage repair in response to DNA damage. This protein is found to possess 3′ to 5′ exonuclease activity, which may contribute to its role in sensing and repairing DNA damage. It forms a checkpoint protein complex with RAD1 and HUS1. This complex is recruited by checkpoint protein RAD17 to the sites of DNA damage, which is thought to be important for triggering the checkpoint-signaling cascade. Use of alternative polyA sites has been noted for this gene. |
| Specification | |
|---|---|
| Aliases | Cell cycle checkpoint control protein RAD9A, hRAD9, DNA repair exonuclease rad9 homolog A, RAD9A |
| Entrez GeneID | 5883 |
| Swissprot | Q99638 |
| WB Predicted band size | 42.5kDa |
| Host/Isotype | Rabbit IgG |
| Storage | Store at 4°C short term. Aliquot and store at -20°C long term. Avoid freeze/thaw cycles. |
| Species Reactivity | Human |
| Immunogen | This RAD9 antibody is generated from rabbits immunized with a KLH conjugated synthetic peptide between 1-30 amino acids from human RAD9. |
| Formulation | Purified polyclonal antibody supplied in PBS with 0.05% sodium azide. This antibody is purified through a protein G column, eluted with high and low pH buffers and neutralized immediately, followed by dialysis against PBS. |
| Application | |
|---|---|
| WB | 1/1000 |
| IHC | 1/100-1/500 |
![]() |
Western blot analysis of anti-Rad9 BH3 domain Pab (Cat. #P30015) in HL-60 cell lysate. Rad9 BH3 domain (arrow) was detected using purified Pab. Secondary HRP-anti-rabbit was used for signal visualization with chemiluminescence. |
![]() |
All lanes : Anti-RAD9 Antibody (BH3 Domain Specific) at 1:4000 dilution Lane 1: A431 whole cell lysate Lane 2: Hela whole cell lysate Lysates/proteins at 20 µg per lane. Secondary Predicted band size : 43 kDa Blocking/Dilution buffer: 5% NFDM/TBST. |
![]() |
Western blot analysis of Rad9(arrow) using rabbit polyclonal Rad9 BH3 domain Pab (Cat. #P30015). 293 cell lysates (2 ug/lane) either nontransfected (Lane 1) or transiently transfected with the Rad9 gene (Lane 2) (Origene Technologies). |
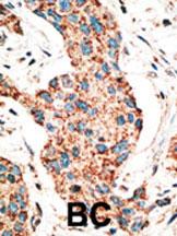
![]() |
Formalin-fixed and paraffin-embedded human cancer tissue reacted with the primary antibody, which was peroxidase-conjugated to the secondary antibody, followed by AEC staining. This data demonstrates the use of this antibody for immunohistochemistry; clinical relevance has not been evaluated. BC = breast carcinoma; HC = hepatocarcinoma. |
本公司的所有产品仅用于科学研究或者工业应用等非医疗目的,不可用于人类或动物的临床诊断或治疗,非药用,非食用。
暂无评论
本公司的所有产品仅用于科学研究或者工业应用等非医疗目的,不可用于人类或动物的临床诊断或治疗,非药用,非食用。
中文




发表回复