别名:RAF1; RAF; RAF proto-oncogene serine/threonine-protein kinase; Proto-oncogene c-RAF; cRaf; Raf-1应用:WB,IHC,ICC
反应种属:Human,Mouse,Rat
规格:50μl/100μl
| Description |
|---|
| Raf-1 is a MAP kinase kinase kinase (MAP3K) which functions downstream of the Ras family of membrane associated GTPases to which it binds directly. Once activated Raf-1 can phosphorylate to activate the dual specificity protein kinases MEK1 and MEK2 which in turn phosphorylate to activate the serine/threonine specific protein kinases ERK1 and ERK2. |
| Specification | |
|---|---|
| Aliases | RAF1; RAF; RAF proto-oncogene serine/threonine-protein kinase; Proto-oncogene c-RAF; cRaf; Raf-1 |
| Entrez GeneID | 5894 |
| Swissprot | P04049 |
| WB Predicted band size | Calculated MW: 73 kDa; Observed MW: 73 kDa |
| Host/Isotype | Rabbit IgG |
| Storage | Store at 4°C short term. Aliquot and store at -20°C long term. Avoid freeze/thaw cycles. |
| Species Reactivity | Human,Mouse,Rat |
| Immunogen | The antiserum was produced against synthesized peptide derived from human C-RAF. AA range:251-300 |
| Formulation | Liquid in PBS containing 50% glycerol, 0.5% BSA and 0.02% sodium azide, pH 7.3. |
| Application | |
|---|---|
| WB | 1/500-1/1000 |
| IHC | 1/50-1/100 |
| ICC | 1/50-1/200 |
| ELISA | 1/10000 |
![]() |
Western blot analysis of Raf1 in HepG2 lysates using Raf1 antibody. |
![]() |
Western blot analysis of Raf1 in rat liver lysates using Raf1 antibody. The lane on the right is blocked with the synthesized peptide. |
![]() |
Immunofluorescence analysis of Raf1 in mouse liver using Raf1 antibody(red),and DAPI (blue). |
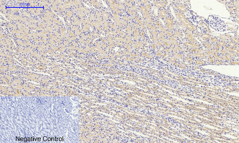
![]() |
Immunohistochemistry analysis of paraffin-embedded rat kidney tissue using Raf1 antibody. High-pressure and temperature Sodium Citrate pH 6.0 was used for antigen retrieval. |
本公司的所有产品仅用于科学研究或者工业应用等非医疗目的,不可用于人类或动物的临床诊断或治疗,非药用,非食用。
暂无评论
本公司的所有产品仅用于科学研究或者工业应用等非医疗目的,不可用于人类或动物的临床诊断或治疗,非药用,非食用。
中文




发表回复