别名:CD265; FEO; LOH18CR1; mRANK; ODFR; OFE; OPTB7; OSTS; PDB2; RANK; TNFRSF11A; TRANCER应用:WB,IHC
反应种属:Human,Mouse,Rat
规格:50μl/100μl
| Description |
|---|
| Receptor for TNFSF11/RANKL/TRANCE/OPGL; essential for RANKL-mediated osteoclastogenesis. Involved in the regulation of interactions between T-cells and dendritic cells. |
| Specification | |
|---|---|
| Aliases | CD265; FEO; LOH18CR1; mRANK; ODFR; OFE; OPTB7; OSTS; PDB2; RANK; TNFRSF11A; TRANCER |
| Entrez GeneID | 8792 |
| Swissprot | Q9Y6Q6 |
| WB Predicted band size | Calculated MW: 66 kDa; Observed MW: 66 kDa |
| Host/Isotype | Rabbit IgG |
| Storage | Store at 4°C short term. Aliquot and store at -20°C long term. Avoid freeze/thaw cycles. |
| Species Reactivity | Human,Mouse,Rat |
| Immunogen | Synthetic peptide from human protein at AA range: 60-120 |
| Formulation | Liquid in PBS containing 50% glycerol, 0.5% BSA and 0.02% sodium azide, pH 7.3. |
| Application | |
|---|---|
| WB | 1/500-1/1000 |
| IHC | 1/50-1/100 |
| ELISA | 1/10000 |
![]() |
Western blot analysis of RANK in Hela lysates using RANK antibody. |
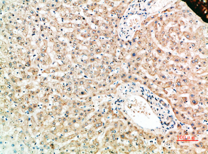
![]() |
Immunohistochemistry analysis of paraffin-embedded Human liver using RANK antibody.High-pressure and temperature Sodium Citrate pH 6.0 was used for antigen retrieval. |
本公司的所有产品仅用于科学研究或者工业应用等非医疗目的,不可用于人类或动物的临床诊断或治疗,非药用,非食用。
暂无评论
本公司的所有产品仅用于科学研究或者工业应用等非医疗目的,不可用于人类或动物的临床诊断或治疗,非药用,非食用。
中文


发表回复