别名:RB1; Retinoblastoma-associated protein; p105-Rb; pRb; Rb; pp110应用:WB,IHC,ICC,IP
反应种属:Human,Mouse
规格:50μl/100μl
| Description |
|---|
| Cell cycle-dependent phosphorylation by a CDK inhibits Rb target binding and allows cell cycle progression. Rb inactivation and subsequent cell cycle progression likely requires an initial phosphorylation by cyclin D-CDK4/6 followed by cyclin E-CDK2 phosphorylation. Specificity of different CDK/cyclin complexes has been observed in vitro and cyclin D1 is required for Ser780 phosphorylation in vivo. |
| Specification | |
|---|---|
| Aliases | RB1; Retinoblastoma-associated protein; p105-Rb; pRb; Rb; pp110 |
| Entrez GeneID | 5925 |
| Swissprot | P06400 |
| WB Predicted band size | Calculated MW: 106 kDa; Observed MW: 106 kDa |
| Host/Isotype | Rabbit IgG |
| Storage | Store at 4°C short term. Aliquot and store at -20°C long term. Avoid freeze/thaw cycles. |
| Species Reactivity | Human,Mouse |
| Immunogen | A synthesized peptide derived from human Retinoblastoma |
| Formulation | Rabbit IgG in phosphate buffered saline , pH 7.4, 150mM NaCl, 0.02% sodium azide and 50% glycerol. |
| Application | |
|---|---|
| IP | 1/20 |
| WB | 1/500-1/1000 |
| IHC | 1/50-1/100 |
| ICC | 1/50-1/200 |
![]() |
Western blot analysis of Retinoblastoma in (1) Jurkat lysates; (2) MCF-7 lysates using Rb antibody. |
![]() |
Immunofluorescence analysis of Rb in SH-SY5Y using Retinoblastoma antibody. |
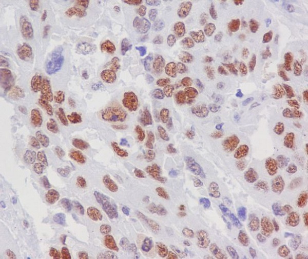
![]() |
Immunohistochemistry analysis of paraffin-embedded Human lung cancer using Retinoblastoma antibody.High-pressure and temperature Sodium Citrate pH 6.0 was used for antigen retrieval. |
本公司的所有产品仅用于科学研究或者工业应用等非医疗目的,不可用于人类或动物的临床诊断或治疗,非药用,非食用。
暂无评论
本公司的所有产品仅用于科学研究或者工业应用等非医疗目的,不可用于人类或动物的临床诊断或治疗,非药用,非食用。
中文



发表回复