别名:RanBP-type and C3HC4-type zinc finger-containing protein 1, 632-, HBV-associated factor 4, Heme-oxidized IRP2 ubiquitin ligase 1, HOIL-1, Hepatitis B virus X-associated protein 4, RING finger protein 54, Ubiquitin-conjugating enzyme 7-interacting protein 3, RBCK1, C20orf18, RNF54, UBCE7IP3, XAP3, XAP4应用:WB,IHC
反应种属:Human, Mouse
规格:50μl/100μl
| Description |
|---|
| The protein encoded by this gene is similar to mouse UIP28/UbcM4 interacting protein. Alternative splicing has been observed at this locus, resulting in distinct isoforms. |
| Specification | |
|---|---|
| Aliases | RanBP-type and C3HC4-type zinc finger-containing protein 1, 632-, HBV-associated factor 4, Heme-oxidized IRP2 ubiquitin ligase 1, HOIL-1, Hepatitis B virus X-associated protein 4, RING finger protein 54, Ubiquitin-conjugating enzyme 7-interacting protein 3, RBCK1, C20orf18, RNF54, UBCE7IP3, XAP3, XAP4 |
| Entrez GeneID | 10616 |
| Swissprot | Q9BYM8 |
| WB Predicted band size | 57.6kDa |
| Host/Isotype | Rabbit IgG |
| Storage | Store at 4°C short term. Aliquot and store at -20°C long term. Avoid freeze/thaw cycles. |
| Species Reactivity | Human, Mouse |
| Immunogen | This RBCK1 (UBCE7IP3) antibody is generated from rabbits immunized with a KLH conjugated synthetic peptide between 16-46 amino acids from the N-terminal region of human RBCK1 (UBCE7IP3). |
| Formulation | Purified polyclonal antibody supplied in PBS with 0.05% sodium azide. This antibody is prepared by Saturated Ammonium Sulfate (SAS) precipitation followed by dialysis against PBS. |
| Application | |
|---|---|
| WB | 1/1000 |
| IHC | 1/100-1/500 |
![]() |
The anti-UBCE7IP3 Pab (Cat. #P30061) is used in Western blot to detect UBCE7IP3 in mouse kidney tissue lysate. |
![]() |
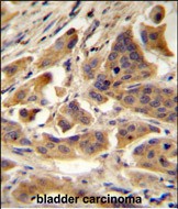
RBCK1 (UBCE7IP3) Antibody (N-term) (Cat. #P30061)immunohistochemistry analysis in formalin fixed and paraffin embedded human bladder carcinoma followed by peroxidase conjugation of the secondary antibody and DAB staining.This data demonstrates the use of RBCK1 (UBCE7IP3) Antibody (N-term) for immunohistochemistry. Clinical relevance has not been evaluated. |
本公司的所有产品仅用于科学研究或者工业应用等非医疗目的,不可用于人类或动物的临床诊断或治疗,非药用,非食用。
暂无评论
本公司的所有产品仅用于科学研究或者工业应用等非医疗目的,不可用于人类或动物的临床诊断或治疗,非药用,非食用。
中文


发表回复