别名:2BP1; FOX1; A2BP1; FOX-1; HRNBP1应用:IHC
反应种属:Human, Mouse
规格:50μl/100μl
| Description |
|---|
| The Fox-1 family of RNA-binding proteins is evolutionarily conserved, and regulates tissue-specific alternative splicing in metazoa. Fox-1 recognizes a (U)GCAUG stretch in regulated exons or in flanking introns. The protein binds to the C-terminus of ataxin-2 and may contribute to the restricted pathology of spinocerebellar ataxia type 2 (SCA2). Ataxin-2 is the product of the SCA2 gene which causes familial neurodegenerative diseases. Fox-1 and ataxin-2 are both localized in the trans-Golgi network. Several alternatively spliced transcript variants encoding different isoforms have been found for this gene. |
| Specification | |
|---|---|
| Aliases | 2BP1; FOX1; A2BP1; FOX-1; HRNBP1 |
| Swissprot | Q9NWB1 |
| Host/Isotype | Rabbit IgG |
| Storage | Store at 4°C short term. Aliquot and store at -20°C long term. Avoid freeze/thaw cycles. |
| Species Reactivity | Human, Mouse |
| Immunogen | Synthetic peptide of human RBFOX1 |
| Formulation | pH7.4 PBS, 0.05% NaN3, 40% Glycerol |
| Application | |
|---|---|
| IHC | 1/40-1/200 |
| ELISA | 1/5000-1/10000 |
![]() |
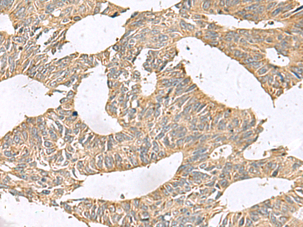
The image is immunohistochemistry of paraffin-embedded Human liver cancer tissue using P13697(RBFOX1 Antibody) at dilution 1/40. (Original magnification: ×200) |
![]() |
The image is immunohistochemistry of paraffin-embedded Human colorectal cancer tissue using P13697(RBFOX1 Antibody) at dilution 1/40. (Original magnification: ×200) |
本公司的所有产品仅用于科学研究或者工业应用等非医疗目的,不可用于人类或动物的临床诊断或治疗,非药用,非食用。
暂无评论
本公司的所有产品仅用于科学研究或者工业应用等非医疗目的,不可用于人类或动物的临床诊断或治疗,非药用,非食用。
中文


发表回复