别名:Pre-mRNA-splicing factor RBM22, RNA-binding motif protein 22, Zinc finger CCCH domain-containing protein 16, RBM22, ZC3H16应用:WB,IHC
反应种属:Human
规格:50μl/100μl
| Description |
|---|
| This gene encodes an RNA binding protein. The encoded protein may play a role in cell division and may be involved in pre-mRNA splicing. Related pseudogenes exist on chromosomes 6, 7, 9, 13, 16, 18, and X. |
| Specification | |
|---|---|
| Aliases | Pre-mRNA-splicing factor RBM22, RNA-binding motif protein 22, Zinc finger CCCH domain-containing protein 16, RBM22, ZC3H16 |
| Entrez GeneID | 55696 |
| Swissprot | Q9NW64 |
| WB Predicted band size | 46.9kDa |
| Host/Isotype | Rabbit IgG |
| Storage | Store at 4°C short term. Aliquot and store at -20°C long term. Avoid freeze/thaw cycles. |
| Species Reactivity | Human |
| Immunogen | This RBM22 antibody is generated from rabbits immunized with a KLH conjugated synthetic peptide between 165-193 amino acids from the Central region of human RBM22. |
| Formulation | Purified polyclonal antibody supplied in PBS with 0.05% sodium azide. This antibody is purified through a protein A column, followed by peptide affinity purification. |
| Application | |
|---|---|
| WB | 1/1000 |
| IHC | 1/100-1/500 |
![]() |
Western blot analysis of lysates from zebra fish muscle, Zebrafish tissue lysate (from left to right), using RBM22 Antibody (Center)(Cat. #P32708). P32708 was diluted at 1:1000 at each lane. A goat anti-rabbit IgG H&L(HRP) at 1:10000 dilution was used as the secondary antibody. Lysates at 35ug per lane. |
![]() |
RBM22 Antibody (Center) (Cat. #P32708) western blot analysis in Jurkat cell line lysates (35ug/lane).This demonstrates the RBM22 antibody detected the RBM22 protein (arrow). |
![]() |
Western blot analysis of RBM22 (arrow) using rabbit polyclonal RBM22 Antibody (Center) (Cat. #P32708). 293 cell lysates (2 ug/lane) either nontransfected (Lane 1) or transiently transfected (Lane 2) with the RBM22 gene. |
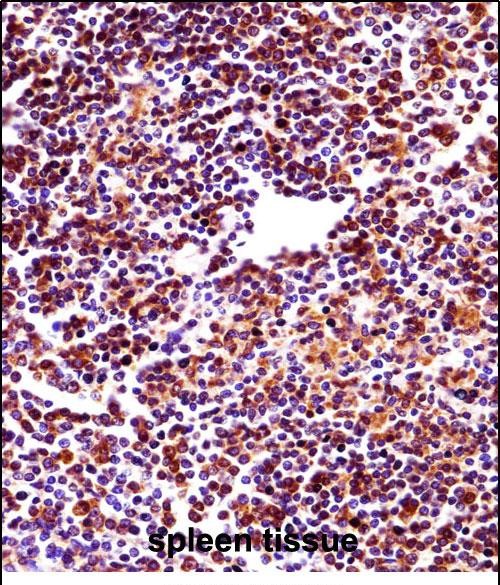
![]() |
RBM22 Antibody (Center) (P32708)immunohistochemistry analysis in formalin fixed and paraffin embedded human spleen tissue followed by peroxidase conjugation of the secondary antibody and DAB staining.This data demonstrates the use of RBM22 Antibody (Center) for immunohistochemistry. Clinical relevance has not been evaluated. |
本公司的所有产品仅用于科学研究或者工业应用等非医疗目的,不可用于人类或动物的临床诊断或治疗,非药用,非食用。
暂无评论
本公司的所有产品仅用于科学研究或者工业应用等非医疗目的,不可用于人类或动物的临床诊断或治疗,非药用,非食用。
中文




发表回复