别名:Putative RNA-binding protein 3, RNA-binding motif protein 3, RNPL, RBM3, RNPL应用:WB,IHC
反应种属:Human
规格:50μl/100μl
| Description |
|---|
| RBM3 is a member of the glycine-rich RNA-binding protein family and a protein with one RNA recognition motif (RRM) domain. Expression of this protein is induced by cold shock and low oxygen tension. |
| Specification | |
|---|---|
| Aliases | Putative RNA-binding protein 3, RNA-binding motif protein 3, RNPL, RBM3, RNPL |
| Entrez GeneID | 5935 |
| Swissprot | P98179 |
| WB Predicted band size | 17.2kDa |
| Host/Isotype | Rabbit IgG |
| Storage | Store at 4°C short term. Aliquot and store at -20°C long term. Avoid freeze/thaw cycles. |
| Species Reactivity | Human |
| Immunogen | This RBM3 antibody is generated from rabbits immunized with a KLH conjugated synthetic peptide between 55-84 amino acids from the Central region of human RBM3. |
| Formulation | Purified polyclonal antibody supplied in PBS with 0.05% sodium azide. This antibody is prepared by Saturated Ammonium Sulfate (SAS) precipitation followed by dialysis against PBS. |
| Application | |
|---|---|
| WB | 1/1000 |
| IHC | 1/100-1/500 |
![]() |
Anti-RBM3 Antibody (Center) at 1:1000 dilution + Jurkat whole cell lysate
Lysates/proteins at 20 µg per lane. Secondary Predicted band size : 17 kDa Blocking/Dilution buffer: 5% NFDM/TBST. |
![]() |
Western blot analysis of RBM3 antibody (Center) (Cat.# P33449) in NIH-3T3 cell line lysates (35ug/lane). RBM3 (arrow) was detected using the purified Pab. |
![]() |
RBM3 Antibody (Center)(Cat.#P33449) FC analysis of MCF-7 cells (bottom histogram) compared to a negative control cell (top histogram). FITC-conjugated goat-anti-rabbit secondary antibodies were used for the analysis. |
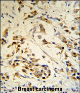
![]() |
RBM3 Antibody (Center) (RB18776) IHC analysis in formalin fixed and paraffin embedded human breast carcinoma followed by peroxidase conjugation of the secondary antibody and DAB staining. This data demonstrates the use of the RBM3 Antibody (Center) for immunohistochemistry. Clinical relevance has not been evaluated. |
本公司的所有产品仅用于科学研究或者工业应用等非医疗目的,不可用于人类或动物的临床诊断或治疗,非药用,非食用。
暂无评论
本公司的所有产品仅用于科学研究或者工业应用等非医疗目的,不可用于人类或动物的临床诊断或治疗,非药用,非食用。
中文




发表回复