别名:REGH; REGL; PSPS2; REGI-BETA应用:WB,IHC
反应种属:Human
规格:50μl/100μl
| Description |
|---|
| This gene is a type I subclass member of the Reg gene family. The Reg gene family is a multigene family grouped into four subclasses, types I, II, III and IV based on the primary structures of the encoded proteins. This gene encodes a protein secreted by the exocrine pancreas that is highly similar to the REG1A protein. The related REG1A protein is associated with islet cell regeneration and diabetogenesis, and may be involved in pancreatic lithogenesis. Reg family members REG1A, REGL, PAP and this gene are tandemly clustered on chromosome 2p12 and may have arisen from the same ancestral gene by gene duplication. |
| Specification | |
|---|---|
| Aliases | REGH; REGL; PSPS2; REGI-BETA |
| Swissprot | P48304 |
| WB Predicted band size | 19 kDa |
| Host/Isotype | Rabbit IgG |
| Storage | Store at 4°C short term. Aliquot and store at -20°C long term. Avoid freeze/thaw cycles. |
| Species Reactivity | Human |
| Immunogen | Fusion protein of human REG1B |
| Formulation | pH7.4 PBS, 0.05% NaN3, 40% Glycerol |
| Application | |
|---|---|
| WB | 1/1000-1/5000 |
| IHC | 1/50-1/300 |
| ELISA | 1/5000-1/10000 |
![]() |
Gel: 12%SDS-PAGE, Lysate: 40 μg, Lane: Human pancreas tissue lysate, Primary antibody: P03101(REG1B Antibody) at dilution 1/800, Secondary antibody: Goat anti rabbit IgG at 1/5000 dilution, Exposure time: 7 seconds |
![]() |
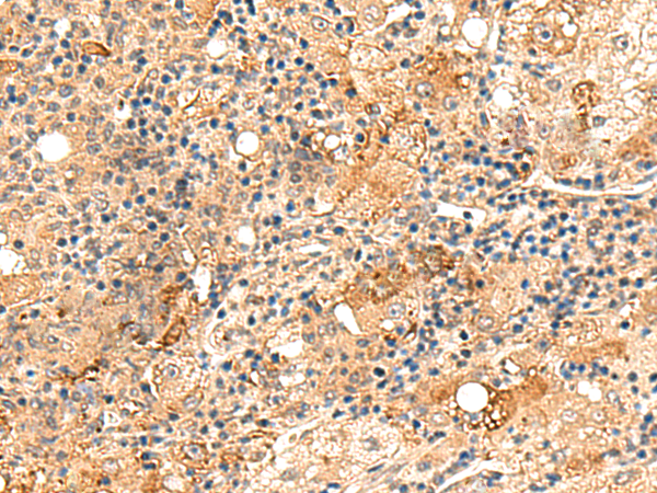
The image is immunohistochemistry of paraffin-embedded Human liver cancer tissue using P03101(REG1B Antibody) at dilution 1/60. (Original magnification: ×200) |
本公司的所有产品仅用于科学研究或者工业应用等非医疗目的,不可用于人类或动物的临床诊断或治疗,非药用,非食用。
暂无评论
本公司的所有产品仅用于科学研究或者工业应用等非医疗目的,不可用于人类或动物的临床诊断或治疗,非药用,非食用。
中文


发表回复