别名:RP44应用:IHC
反应种属:Human, Mouse
规格:50μl/100μl
| Description |
|---|
| This gene encodes a putative retinal G-protein coupled receptor. The gene is a member of the opsin subfamily of the 7 transmembrane, G-protein coupled receptor 1 family. Like other opsins which bind retinaldehyde, it contains a conserved lysine residue in the seventh transmembrane domain. The protein acts as a photoisomerase to catalyze the conversion of all-trans-retinal to 11-cis-retinal. The reverse isomerization occurs with rhodopsin in retinal photoreceptor cells. The protein is exclusively expressed in tissue adjacent to retinal photoreceptor cells, the retinal pigment epithelium and Mueller cells. This gene may be associated with autosomal recessive and autosomal dominant retinitis pigmentosa (arRP and adRP, respectively). Alternative splicing results in multiple transcript variants encoding different isoforms. |
| Specification | |
|---|---|
| Aliases | RP44 |
| Swissprot | P47804 |
| Host/Isotype | Rabbit IgG |
| Storage | Store at 4°C short term. Aliquot and store at -20°C long term. Avoid freeze/thaw cycles. |
| Species Reactivity | Human, Mouse |
| Immunogen | Synthetic peptide of human RGR |
| Formulation | pH7.4 PBS, 0.05% NaN3, 40% Glycerol |
| Application | |
|---|---|
| IHC | 1/20-1/100 |
| ELISA | 1/5000-1/10000 |
![]() |
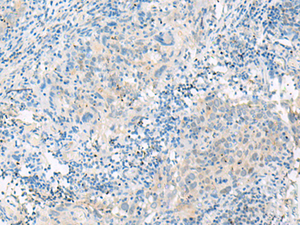
The image is immunohistochemistry of paraffin-embedded Human thyroid cancer tissue using P06679(RGR Antibody) at dilution 1/20. (Original magnification: ×200) |
![]() |
The image is immunohistochemistry of paraffin-embedded Human cervical cancer tissue using P06679(RGR Antibody) at dilution 1/20. (Original magnification: ×200) |
本公司的所有产品仅用于科学研究或者工业应用等非医疗目的,不可用于人类或动物的临床诊断或治疗,非药用,非食用。
暂无评论
本公司的所有产品仅用于科学研究或者工业应用等非医疗目的,不可用于人类或动物的临床诊断或治疗,非药用,非食用。
中文


发表回复