别名:OHS; RH2; OHST; Rh50; CD241; RH50A; Rh50GP; SLC42A1应用:WB,IHC
反应种属:Human, Mouse
规格:50μl/100μl
| Description |
|---|
| The protein encoded by this gene is erythrocyte-specific and is thought to be part of a membrane channel that transports ammonium and carbon dioxide across the blood cell membrane. The encoded protein appears to interact with Rh blood group antigens and Rh30 polypeptides. Defects in this gene are a cause of regulator type Rh-null hemolytic anemia (RHN), or Rh-deficiency syndrome. |
| Specification | |
|---|---|
| Aliases | OHS; RH2; OHST; Rh50; CD241; RH50A; Rh50GP; SLC42A1 |
| Swissprot | Q02094 |
| WB Predicted band size | 44 kDa |
| Host/Isotype | Rabbit IgG |
| Storage | Store at 4°C short term. Aliquot and store at -20°C long term. Avoid freeze/thaw cycles. |
| Species Reactivity | Human, Mouse |
| Immunogen | Fusion protein of human RHAG |
| Formulation | pH7.4 PBS, 0.05% NaN3, 40% Glycerol |
| Application | |
|---|---|
| WB | 1/1000-1/5000 |
| IHC | 1/50-1/300 |
| ELISA | 1/5000-1/10000 |
![]() |
Gel: 8%SDS-PAGE, Lysate: 40 μg, Lane 1-4: HepG2 cell, Human fetal liver tissue, K562 cell, NIH/3T3 cell lysates, Primary antibody: P03144(RHAG Antibody) at dilution 1/1600, Secondary antibody: Goat anti rabbit IgG at 1/5000 dilution, Exposure time: 30 seconds |
![]() |
The image is immunohistochemistry of paraffin-embedded Human tonsil tissue using P03144(RHAG Antibody) at dilution 1/110. (Original magnification: ×200) |
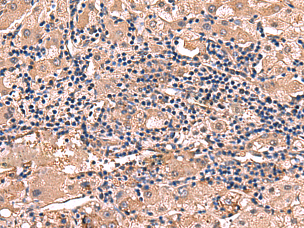
![]() |
The image is immunohistochemistry of paraffin-embedded Human liver cancer tissue using P03144(RHAG Antibody) at dilution 1/110. (Original magnification: ×200) |
本公司的所有产品仅用于科学研究或者工业应用等非医疗目的,不可用于人类或动物的临床诊断或治疗,非药用,非食用。
暂无评论
本公司的所有产品仅用于科学研究或者工业应用等非医疗目的,不可用于人类或动物的临床诊断或治疗,非药用,非食用。
中文



发表回复