别名:RHEB2应用:WB,IHC
反应种属:Human, Mouse, Rat
规格:50μl/100μl
| Description |
|---|
| This gene is a member of the small GTPase superfamily and encodes a lipid-anchored, cell membrane protein with five repeats of the RAS-related GTP-binding region. This protein is vital in regulation of growth and cell cycle progression due to its role in the insulin/TOR/S6K signaling pathway. The protein has GTPase activity and shuttles between a GDP-bound form and a GTP-bound form, and farnesylation of the protein is required for this activity. Three pseudogenes have been mapped, two on chromosome 10 and one on chromosome 22. |
| Specification | |
|---|---|
| Aliases | RHEB2 |
| Swissprot | Q15382 |
| WB Predicted band size | 20 kDa |
| Host/Isotype | Rabbit IgG |
| Storage | Store at 4°C short term. Aliquot and store at -20°C long term. Avoid freeze/thaw cycles. |
| Species Reactivity | Human, Mouse, Rat |
| Immunogen | Synthetic peptide of human RHEB |
| Formulation | pH7.4 PBS, 0.05% NaN3, 40% Glycerol |
| Application | |
|---|---|
| WB | 1/500-1/2000 |
| IHC | 1/50-1/200 |
| ELISA | 1/2000-1/5000 |
![]() |
Gel: 10%SDS-PAGE, Lysate: 40 μg, Lane 1-6: Human brain malignant glioma tissue, Jurkat cells, Raji cells, 231 cells, human fetal brain tissue, Hela cells, Primary antibody: P11982(RHEB Antibody) at dilution 1/300, Secondary antibody: Goat anti rabbit IgG at 1/8000 dilution, Exposure time: 5 seconds |
![]() |
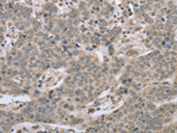
The image is immunohistochemistry of paraffin-embedded Human liver cancer tissue using P11982(RHEB Antibody) at dilution 1/40. (Original magnification: ×200) |
![]() |
The image is immunohistochemistry of paraffin-embedded Human lung cancer tissue using P11982(RHEB Antibody) at dilution 1/40. (Original magnification: ×200) |
本公司的所有产品仅用于科学研究或者工业应用等非医疗目的,不可用于人类或动物的临床诊断或治疗,非药用,非食用。
暂无评论
本公司的所有产品仅用于科学研究或者工业应用等非医疗目的,不可用于人类或动物的临床诊断或治疗,非药用,非食用。
中文



发表回复