别名:RHOA; ARH12; ARHA; RHO12; Transforming protein RhoA; Rho cDNA clone 12; h12应用:WB,IHC,ICC
反应种属:Human,Mouse,Rat
规格:50μl/100μl
| Description |
|---|
| Rho A is a small G protein of the Rho family. Regulates a signal transduction pathway linking plasma membrane receptors to the assembly of focal adhesions and actin stress fibers. |
| Specification | |
|---|---|
| Aliases | RHOA; ARH12; ARHA; RHO12; Transforming protein RhoA; Rho cDNA clone 12; h12 |
| Entrez GeneID | 387 |
| Swissprot | P61586 |
| WB Predicted band size | Calculated MW: 22 kDa; Observed MW: 22 kDa |
| Host/Isotype | Rabbit IgG |
| Storage | Store at 4°C short term. Aliquot and store at -20°C long term. Avoid freeze/thaw cycles. |
| Species Reactivity | Human,Mouse,Rat |
| Immunogen | The antiserum was produced against synthesized peptide derived from human RhoA. AA range:144-193 |
| Formulation | Liquid in PBS containing 50% glycerol, 0.5% BSA and 0.02% sodium azide, pH 7.3. |
| Application | |
|---|---|
| WB | 1/500-1/1000 |
| IHC | 1/50-1/100 |
| ICC | 1/50-1/200 |
| ELISA | 1/10000 |
![]() |
Western blot analysis of RhoA in HepG2 lysates using RhoA antibody. |
![]() |
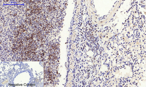
Immunohistochemistry analysis of paraffin-embedded mouse lung tissue using Rho A antibody. High-pressure and temperature Sodium Citrate pH 6.0 was used for antigen retrieval.Negative control was used by secondary antibody only. |
![]() |
Immunofluorescence analysis of RhoA in rat lung using Rho A antibody(red),and DAPI (blue). |
![]() |
Immunofluorescence analysis of RhoA in mouse lung using Rho A antibody(red),and DAPI (blue) |
![]() |
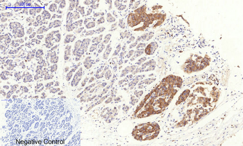
Immunohistochemistry analysis of paraffin-embedded Human stomach cancer tissue using Rho A antibody.High-pressure and temperature Sodium Citrate pH 6.0 was used for antigen retrieval.Negative control was used by secondary antibody only. |
![]() |
Immunohistochemistry analysis of paraffin-embedded rat lung tissue using RhoA antibody.High-pressure and temperature Sodium Citrate pH 6.0 was used for antigen retrieval.Negative control was used by secondary antibody. |
本公司的所有产品仅用于科学研究或者工业应用等非医疗目的,不可用于人类或动物的临床诊断或治疗,非药用,非食用。
暂无评论
本公司的所有产品仅用于科学研究或者工业应用等非医疗目的,不可用于人类或动物的临床诊断或治疗,非药用,非食用。
中文






发表回复