别名:ARH12; ARH6; ARH9; ARHA; ARHA2; H12; RHO12; Transforming protein RhoA; RHOA; RHOB; RHOC应用:WB,IHC,ICC,FCM
反应种属:Human,Mouse,Rat
规格:50μl/100μl
| Description |
|---|
| RhoA,RhoB,RhoC is a small G protein of the Rho family. Regulates a signal transduction pathway linking plasma membrane receptors to the assembly of focal adhesions and actin stress fibers. The three mammalian Rho proteins (A, B and C) are approximately 30% homologous to Ras and are expressed in a wide range of cell types. Both Ras p21 and Rho p21, as well as other members of the Ras superfamily, contain a carboxy terminal CAAX sequence (C, cysteine; A, aliphatic amino acid; X, any amino acid) which in the case of Ras has been shown to be essential for correct localization and function. |
| Specification | |
|---|---|
| Aliases | ARH12; ARH6; ARH9; ARHA; ARHA2; H12; RHO12; Transforming protein RhoA; RHOA; RHOB; RHOC |
| Entrez GeneID | 387/388/389 |
| Swissprot | P61586/P62745/P08134 |
| WB Predicted band size | Calculated MW: 22 kDa; Observed MW: 22 kDa |
| Host/Isotype | Rabbit IgG |
| Storage | Store at 4°C short term. Aliquot and store at -20°C long term. Avoid freeze/thaw cycles. |
| Species Reactivity | Human,Mouse,Rat |
| Immunogen | A synthesized peptide derived from human Rho A + B + C |
| Formulation | Rabbit IgG in phosphate buffered saline , pH 7.4, 150mM NaCl, 0.02% sodium azide and 50% glycerol. |
| Application | |
|---|---|
| WB | 1/500-1/1000 |
| IHC | 1/50-1/100 |
| ICC | 1/50-1/200 |
| FCM | 1/50-1/100 |
![]() |
Western blot analysis of Rho A + B + C expression in (1) Jurkat lysates; (2) NIH/3T3 lysates using RhoA/B/C antibody |
![]() |
Western blot analysis of Rho A + B + C in SH-SY5Y and rat Brain lysates using Rho A + B + C antibody. |
![]() |
Immunofluorescent analysis of RhoA/B/C in Hela using RhoA/B/C antibody. |
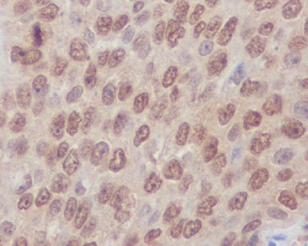
![]() |
Immunohistochemistry analysis of paraffin-embedded Human lung carcinoma using Rho A + B + C antibody.High-pressure and temperature Sodium Citrate pH 6.0 was used for antigen retrieval. |
本公司的所有产品仅用于科学研究或者工业应用等非医疗目的,不可用于人类或动物的临床诊断或治疗,非药用,非食用。
暂无评论
本公司的所有产品仅用于科学研究或者工业应用等非医疗目的,不可用于人类或动物的临床诊断或治疗,非药用,非食用。
中文




发表回复