别名:ARHU; G28K; WRCH1; hG28K; CDC42L1应用:WB,IHC
反应种属:Human, Mouse
规格:50μl/100μl
| Description |
|---|
| This gene encodes a member of the Rho family of GTPases. This protein can activate PAK1 and JNK1, and can induce filopodium formation and stress fiber dissolution. It may also mediate the effects of WNT1 signaling in the regulation of cell morphology, cytoskeletal organization, and cell proliferation. A non-coding transcript variant of this gene results from naturally occurring read-through transcription between this locus and the neighboring DUSP5P (dual specificity phosphatase 5 pseudogene) locus. |
| Specification | |
|---|---|
| Aliases | ARHU; G28K; WRCH1; hG28K; CDC42L1 |
| Swissprot | Q7L0Q8 |
| WB Predicted band size | 28 kDa |
| Host/Isotype | Rabbit IgG |
| Storage | Store at 4°C short term. Aliquot and store at -20°C long term. Avoid freeze/thaw cycles. |
| Species Reactivity | Human, Mouse |
| Immunogen | Synthetic peptide of human RHOU |
| Formulation | pH7.4 PBS, 0.05% NaN3, 40% Glycerol |
| Application | |
|---|---|
| WB | 1/500-1/2000 |
| IHC | 1/50-1/100 |
| ELISA | 1/5000-1/10000 |
![]() |
Gel: 12%SDS-PAGE, Lysate: 40 μg, Lane 1-2: Human heart tissue, Mouse stomach tissue lysates, Primary antibody: P05549(RHOU Antibody) at dilution 1/700, Secondary antibody: Goat anti rabbit IgG at 1/5000 dilution, Exposure time: 1 minute |
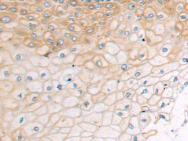
![]() |
The image is immunohistochemistry of paraffin-embedded Human esophagus cancer tissue using P05549(RHOU Antibody) at dilution 1/50. (Original magnification: ×200) |
本公司的所有产品仅用于科学研究或者工业应用等非医疗目的,不可用于人类或动物的临床诊断或治疗,非药用,非食用。
暂无评论
本公司的所有产品仅用于科学研究或者工业应用等非医疗目的,不可用于人类或动物的临床诊断或治疗,非药用,非食用。
中文


发表回复