别名:RLP1; GOSPEL应用:WB,IHC
反应种属:Human, Mouse, Rat
规格:50μl/100μl
| Description |
|---|
| Plays a role in the regulation of cell shape and polarity (By similarity). Plays a role in cellular protein transport, including protein transport away from primary cilia (By similarity). Neuroprotective protein, which acts by sequestring GAPDH in the cytosol and prevent the apoptotic function of GAPDH in the nucleus (By similarity). Competes with SIAH1 for binding GAPDH (By similarity). Does not regulate lysosomal morphology and distribution (PubMed:14668488). Binds to RAB10 following LRRK2-mediated RAB10 phosphorylation which leads to inhibition of ciliogenesis (PubMed:30398148). |
| Specification | |
|---|---|
| Aliases | RLP1; GOSPEL |
| Swissprot | Q5EBL4 |
| WB Predicted band size | 47 kDa |
| Host/Isotype | Rabbit IgG |
| Storage | Store at 4°C short term. Aliquot and store at -20°C long term. Avoid freeze/thaw cycles. |
| Species Reactivity | Human, Mouse, Rat |
| Immunogen | Fusion protein of human RILPL1 |
| Formulation | pH7.4 PBS, 0.05% NaN3, 40% Glycerol |
| Application | |
|---|---|
| WB | 1/500-1/2000 |
| IHC | 1/50-1/200 |
| ELISA | 1/5000-1/10000 |
![]() |
Gel: 8%SDS-PAGE, Lysate: 40 μg, Lane: Mouse heart tissue lysate, Primary antibody: P03499(RILPL1 Antibody) at dilution 1/800, Secondary antibody: Goat anti rabbit IgG at 1/5000 dilution, Exposure time: 30 seconds |
![]() |
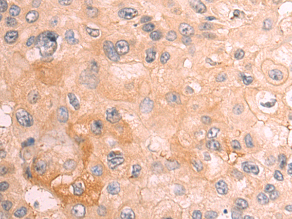
The image is immunohistochemistry of paraffin-embedded Human esophagus cancer tissue using P03499(RILPL1 Antibody) at dilution 1/70. (Original magnification: ×200) |
![]() |
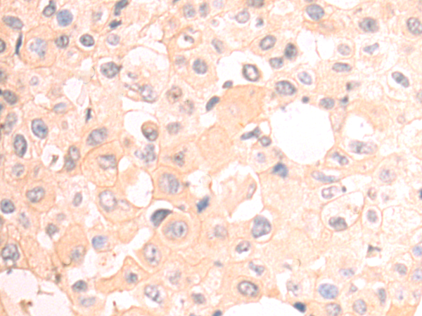
The image is immunohistochemistry of paraffin-embedded Human breast cancer tissue using P03499(RILPL1 Antibody) at dilution 1/70. (Original magnification: ×200) |
本公司的所有产品仅用于科学研究或者工业应用等非医疗目的,不可用于人类或动物的临床诊断或治疗,非药用,非食用。
暂无评论
本公司的所有产品仅用于科学研究或者工业应用等非医疗目的,不可用于人类或动物的临床诊断或治疗,非药用,非食用。
中文



发表回复