别名:Beta-citrylglutamate synthase B, N-acetyl-aspartylglutamate synthetase B, NAAG synthetase B, NAAGS, Ribosomal protein S6 modification-like protein B, RIMKLB, FAM80B, KIAA1238应用:WB,IHC,FCM
反应种属:Human, Mouse
规格:50μl/100μl
| Specification | |
|---|---|
| Aliases | Beta-citrylglutamate synthase B, N-acetyl-aspartylglutamate synthetase B, NAAG synthetase B, NAAGS, Ribosomal protein S6 modification-like protein B, RIMKLB, FAM80B, KIAA1238 |
| Entrez GeneID | 57494 |
| Swissprot | Q9ULI2 |
| WB Predicted band size | 42.5kDa |
| Host/Isotype | Rabbit IgG |
| Storage | Store at 4°C short term. Aliquot and store at -20°C long term. Avoid freeze/thaw cycles. |
| Species Reactivity | Human, Mouse |
| Immunogen | This RIMKLB antibody is generated from rabbits immunized with a KLH conjugated synthetic peptide between 1-30 amino acids from the N-terminal region of human RIMKLB. |
| Formulation | Purified polyclonal antibody supplied in PBS with 0.05% sodium azide. This antibody is purified through a protein A column, followed by peptide affinity purification. |
| Application | |
|---|---|
| WB | 1/1000 |
| IHC | 1/100-1/500 |
| FCM | 1/10-1/50 |
![]() |
Western blot analysis of RIMKLB Antibody (N-term) (Cat. #P30629) in mouse liver tissue lysates (35ug/lane).RIMKLB (arrow) was detected using the purified Pab. |
![]() |
RIMKLB Antibody (N-term) (Cat. #P30629) flow cytometric analysis of 293 cells (right histogram) compared to a negative control cell (left histogram).FITC-conjugated goat-anti-rabbit secondary antibodies were used for the analysis. |
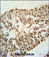
![]() |
RIMKLB Antibody (N-term) (Cat. #P30629) immunohistochemistry analysis in formalin fixed and paraffin embedded human testis tissue followed by peroxidase conjugation of the secondary antibody and DAB staining. This data demonstrates the use of the RIMKLB Antibody (N-term) for immunohistochemistry. Clinical relevance has not been evaluated. |
本公司的所有产品仅用于科学研究或者工业应用等非医疗目的,不可用于人类或动物的临床诊断或治疗,非药用,非食用。
暂无评论
本公司的所有产品仅用于科学研究或者工业应用等非医疗目的,不可用于人类或动物的临床诊断或治疗,非药用,非食用。
中文



发表回复