别名:Serine/threonine-protein kinase RIO1, RIO kinase 1, RIOK1应用:WB,IHC
反应种属:Human
规格:50μl/100μl
| Specification | |
|---|---|
| Aliases | Serine/threonine-protein kinase RIO1, RIO kinase 1, RIOK1 |
| Entrez GeneID | 83732 |
| Swissprot | Q9BRS2 |
| WB Predicted band size | 65.6kDa |
| Host/Isotype | Rabbit IgG |
| Storage | Store at 4°C short term. Aliquot and store at -20°C long term. Avoid freeze/thaw cycles. |
| Species Reactivity | Human |
| Immunogen | This RIOK1 antibody is generated from rabbits immunized with a KLH conjugated synthetic peptide between 126-156 amino acids from the N-terminal region of human RIOK1. |
| Formulation | Purified polyclonal antibody supplied in PBS with 0.05% sodium azide. This antibody is purified through a protein G column, eluted with high and low pH buffers and neutralized immediately, followed by dialysis against PBS. |
| Application | |
|---|---|
| WB | 1/1000 |
| IHC | 1/100-1/500 |
![]() |
Western blot analysis of RIOK1 antibody (N-term) (Cat. #P30172) in K562 cell line lysates (35ug/lane). RIOK1 (arrow) was detected using the purified Pab. |
![]() |
Western blot analysis of RIOK1 (arrow) using rabbit polyclonal RIOK1 Antibody (N-term) (Cat. #P30172). 293 cell lysates (2 ug/lane) either nontransfected (Lane 1) or transiently transfected (Lane 2) with the RIOK1 gene. |
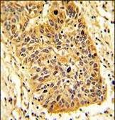
![]() |
Formalin-fixed and paraffin-embedded human lung carcinoma reacted with RIOK1 Antibody (N-term), which was peroxidase-conjugated to the secondary antibody, followed by DAB staining. This data demonstrates the use of this antibody for immunohistochemistry; clinical relevance has not been evaluated. |
本公司的所有产品仅用于科学研究或者工业应用等非医疗目的,不可用于人类或动物的临床诊断或治疗,非药用,非食用。
暂无评论
本公司的所有产品仅用于科学研究或者工业应用等非医疗目的,不可用于人类或动物的临床诊断或治疗,非药用,非食用。
中文



发表回复