别名:ROX; NO66; JMJD9; MAPJD; URLC2; hsNO66; C14orf169应用:IHC
反应种属:Human, Mouse, Rat
规格:50μl/100μl
| Description |
|---|
| Oxygenase that can act as both a histone lysine demethylase and a ribosomal histidine hydroxylase. Specifically demethylates ‘Lys-4’ (H3K4me) and ‘Lys-36’ (H3K36me) of histone H3, thereby playing a central role in histone code. Preferentially demethylates trimethylated H3 ‘Lys-4’ (H3K4me3) and monomethylated H3 ‘Lys-4’ (H3K4me1) residues, while it has weaker activity for dimethylated H3 ‘Lys-36’ (H3K36me2). Also catalyzes the hydroxylation of 60S ribosomal protein L8 on ‘His-216’. Acts as a regulator of osteoblast differentiation via its interaction with SP7/OSX by demethylating H3K4me and H3K36me, thereby inhibiting SP7/OSX-mediated promoter activation (By similarity). May also play a role in ribosome biogenesis and in the replication or remodeling of certain heterochromatic region. Participates in MYC-induced transcriptional activation. |
| Specification | |
|---|---|
| Aliases | ROX; NO66; JMJD9; MAPJD; URLC2; hsNO66; C14orf169 |
| Swissprot | Q9H6W3 |
| Host/Isotype | Rabbit IgG |
| Storage | Store at 4°C short term. Aliquot and store at -20°C long term. Avoid freeze/thaw cycles. |
| Species Reactivity | Human, Mouse, Rat |
| Immunogen | Synthetic peptide of human RIOX1 |
| Formulation | pH7.4 PBS, 0.05% NaN3, 40% Glycerol |
| Application | |
|---|---|
| IHC | 1/30-1/150 |
| ELISA | 1/5000-1/10000 |
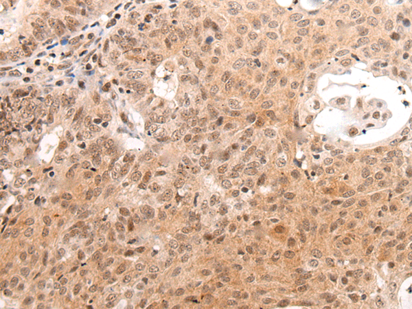
![]() |
The image is immunohistochemistry of paraffin-embedded Human thyroid cancer tissue using P12979(RIOX1 Antibody) at dilution 1/45. (Original magnification: ×200) |
![]() |
The image is immunohistochemistry of paraffin-embedded Human ovarian cancer tissue using P12979(RIOX1 Antibody) at dilution 1/45. (Original magnification: ×200) |
本公司的所有产品仅用于科学研究或者工业应用等非医疗目的,不可用于人类或动物的临床诊断或治疗,非药用,非食用。
暂无评论
本公司的所有产品仅用于科学研究或者工业应用等非医疗目的,不可用于人类或动物的临床诊断或治疗,非药用,非食用。
中文


发表回复