别名:ROX; MDIG; MINA; NO52; JMJD10; MINA53应用:IHC
反应种属:Human
规格:50μl/100μl
| Description |
|---|
| Oxygenase that can act as both a histone lysine demethylase and a ribosomal histidine hydroxylase. Is involved in the demethylation of trimethylated ‘Lys-9’ on histone H3 (H3K9me3), leading to an increase in ribosomal RNA expression. Also catalyzes the hydroxylation of 60S ribosomal protein L27a on ‘His-39’. May play an important role in cell growth and survival. May be involved in ribosome biogenesis, most likely during the assembly process of pre-ribosomal particles. |
| Specification | |
|---|---|
| Aliases | ROX; MDIG; MINA; NO52; JMJD10; MINA53 |
| Swissprot | Q8IUF8 |
| Host/Isotype | Rabbit IgG |
| Storage | Store at 4°C short term. Aliquot and store at -20°C long term. Avoid freeze/thaw cycles. |
| Species Reactivity | Human |
| Immunogen | Fusion protein of human RIOX2 |
| Formulation | pH7.4 PBS, 0.05% NaN3, 40% Glycerol |
| Application | |
|---|---|
| IHC | 1/25-1/100 |
| ELISA | 1/5000-1/10000 |
![]() |
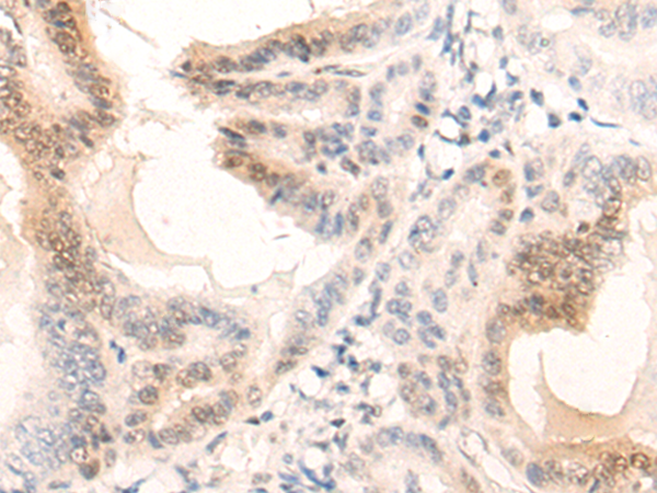
The image is immunohistochemistry of paraffin-embedded Human cervical cancer tissue using P02747(RIOX2 Antibody) at dilution 1/20. (Original magnification: ×200) |
![]() |
The image is immunohistochemistry of paraffin-embedded Human thyroid cancer tissue using P02747(RIOX2 Antibody) at dilution 1/20. (Original magnification: ×200) |
本公司的所有产品仅用于科学研究或者工业应用等非医疗目的,不可用于人类或动物的临床诊断或治疗,非药用,非食用。
暂无评论
本公司的所有产品仅用于科学研究或者工业应用等非医疗目的,不可用于人类或动物的临床诊断或治疗,非药用,非食用。
中文


发表回复