别名:应用:WB,IHC
反应种属:Human, Mouse, Rat
规格:50μl/100μl
| Description |
|---|
| RNF126 contains a RING type zinc finger domain, a motif known to be involved in protein-protein and protein-DNA interactions. The specific function of this protein is unknown. There are two named isoforms. |
| Specification | |
|---|---|
| Swissprot | Q9BV68 |
| WB Predicted band size | 36 kDa |
| Host/Isotype | Rabbit IgG |
| Storage | Store at 4°C short term. Aliquot and store at -20°C long term. Avoid freeze/thaw cycles. |
| Species Reactivity | Human, Mouse, Rat |
| Immunogen | Synthetic peptide of human RNF126 |
| Formulation | pH7.4 PBS, 0.05% NaN3, 40% Glycerol |
| Application | |
|---|---|
| WB | 1/1000-1/5000 |
| IHC | 1/25-1/100 |
| ELISA | 1/1000-1/5000 |
![]() |
Gel: 12%SDS-PAGE, Lysate: 30 μg, Lane: NIH/3T3 cells, Primary antibody: P04190(RNF126 Antibody) at dilution 1/1050, Secondary antibody: Goat anti rabbit IgG at 1/8000 dilution, Exposure time: 2 seconds |
![]() |
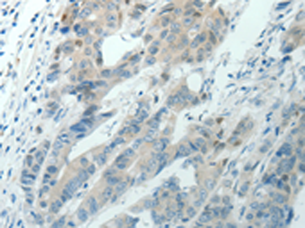
The image is immunohistochemistry of paraffin-embedded Human colon cancer tissue using P04190(RNF126 Antibody) at dilution 1/70. (Original magnification: ×200) |
![]() |
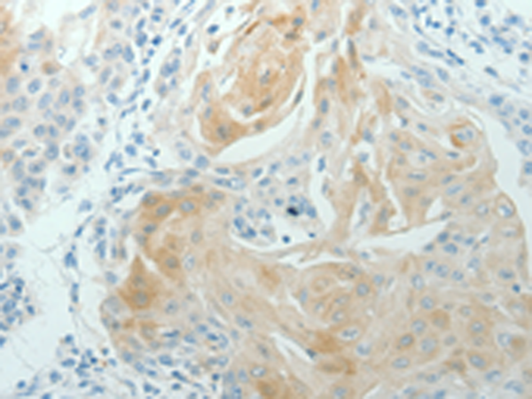
The image is immunohistochemistry of paraffin-embedded Human cervical cancer tissue using P04190(RNF126 Antibody) at dilution 1/70. (Original magnification: ×200) |
本公司的所有产品仅用于科学研究或者工业应用等非医疗目的,不可用于人类或动物的临床诊断或治疗,非药用,非食用。
暂无评论
本公司的所有产品仅用于科学研究或者工业应用等非医疗目的,不可用于人类或动物的临床诊断或治疗,非药用,非食用。
中文



发表回复