别名:NTRKR1; dJ537F10.1应用:IHC
反应种属:Human, Mouse
规格:50μl/100μl
| Description |
|---|
| This gene encodes a receptor tyrosine kinase-like orphan receptor that modulates neurite growth in the central nervous system. The encoded protein is a glycosylated type I membrane protein that belongs to the ROR subfamily of cell surface receptors. It is a pseudokinase that lacks catalytic activity and may interact with the non-canonical Wnt signalling pathway. This gene is highly expressed during early embryonic development but expressed at very low levels in adult tissues. Increased expression of this gene is associated with B-cell chronic lymphocytic leukaemia. Alternative splicing results in multiple transcript variants encoding different isoforms. |
| Specification | |
|---|---|
| Aliases | NTRKR1; dJ537F10.1 |
| Swissprot | Q01973 |
| Host/Isotype | Rabbit IgG |
| Storage | Store at 4°C short term. Aliquot and store at -20°C long term. Avoid freeze/thaw cycles. |
| Species Reactivity | Human, Mouse |
| Immunogen | Synthetic peptide of human ROR1 |
| Formulation | pH7.4 PBS, 0.05% NaN3, 40% Glycerol |
| Application | |
|---|---|
| IHC | 1/25-1/100 |
| ELISA | 1/2000-1/5000 |
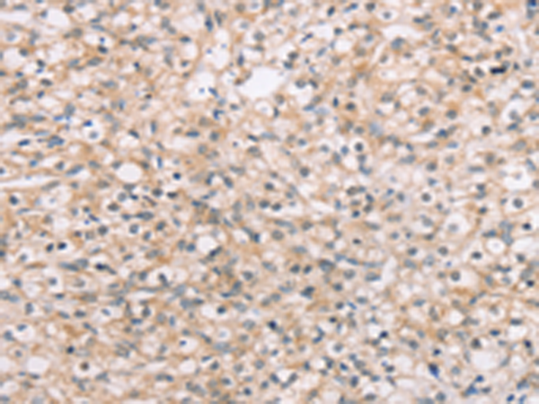
![]() |
The image is immunohistochemistry of paraffin-embedded Human lung cancer tissue using P05349(ROR1 Antibody) at dilution 1/45. (Original magnification: ×200) |
![]() |
The image is immunohistochemistry of paraffin-embedded Human prostate cancer tissue using P05349(ROR1 Antibody) at dilution 1/45. (Original magnification: ×200) |
本公司的所有产品仅用于科学研究或者工业应用等非医疗目的,不可用于人类或动物的临床诊断或治疗,非药用,非食用。
暂无评论
本公司的所有产品仅用于科学研究或者工业应用等非医疗目的,不可用于人类或动物的临床诊断或治疗,非药用,非食用。
中文


发表回复