别名:60S ribosomal protein L31, RPL31应用:WB,IHC,FCM
反应种属:Human
规格:50μl/100μl
| Description |
|---|
| Ribosomes, the organelles that catalyze protein synthesis, consist of a small 40S subunit and a large 60S subunit. Together these subunits are composed of 4 RNA species and approximately 80 structurally distinct proteins. RPL31 is a ribosomal protein that is a component of the 60S subunit. The protein belongs to the L31E family of ribosomal proteins. It is located in the cytoplasm. |
| Specification | |
|---|---|
| Aliases | 60S ribosomal protein L31, RPL31 |
| Entrez GeneID | 6160 |
| Swissprot | P62899 |
| WB Predicted band size | 14.5kDa |
| Host/Isotype | Rabbit IgG |
| Storage | Store at 4°C short term. Aliquot and store at -20°C long term. Avoid freeze/thaw cycles. |
| Species Reactivity | Human |
| Immunogen | This RPL31 antibody is generated from rabbits immunized with a KLH conjugated synthetic peptide between 24-51 amino acids from the Central region of human RPL31. |
| Formulation | Purified polyclonal antibody supplied in PBS with 0.05% sodium azide. This antibody is purified through a protein A column, followed by peptide affinity purification. |
| Application | |
|---|---|
| WB | 1/1000 |
| IHC | 1/100-1/500 |
| FCM | 1/10-1/50 |
![]() |
Western blot analysis of RPL31 Antibody (Center) (Cat. #P30509) in Hela cell line lysates (35ug/lane).RPL31 (arrow) was detected using the purified Pab. |
![]() |
RPL31 Antibody (Center) (Cat. #P30509) flow cytometric analysis of Hela cells (right histogram) compared to a negative control cell (left histogram).FITC-conjugated goat-anti-rabbit secondary antibodies were used for the analysis. |
![]() |
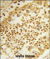
Formalin-fixed and paraffin-embedded human testis tissue reacted with RPL31 Antibody (Center), which was peroxidase-conjugated to the secondary antibody, followed by DAB staining. This data demonstrates the use of this antibody for immunohistochemistry; clinical relevance has not been evaluated. |
本公司的所有产品仅用于科学研究或者工业应用等非医疗目的,不可用于人类或动物的临床诊断或治疗,非药用,非食用。
暂无评论
本公司的所有产品仅用于科学研究或者工业应用等非医疗目的,不可用于人类或动物的临床诊断或治疗,非药用,非食用。
中文



发表回复