别名:60S acidic ribosomal protein P0-like, RPLP0P6应用:WB,IHC,ICC
反应种属:Human
规格:50μl/100μl
| Description |
|---|
| Ribosomal protein P0 is the functional equivalent of E.coli protein L10 (By similarity). |
| Specification | |
|---|---|
| Aliases | 60S acidic ribosomal protein P0-like, RPLP0P6 |
| Swissprot | Q8NHW5 |
| WB Predicted band size | 34.4kDa |
| Host/Isotype | Rabbit IgG |
| Storage | Store at 4°C short term. Aliquot and store at -20°C long term. Avoid freeze/thaw cycles. |
| Species Reactivity | Human |
| Immunogen | This RPLP0P6 antibody is generated from rabbits immunized with a KLH conjugated synthetic peptide between 1-30 amino acids from the N-terminal region of human RPLP0P6. |
| Formulation | Purified polyclonal antibody supplied in PBS with 0.05% sodium azide. This antibody is purified through a protein A column, followed by peptide affinity purification. |
| Application | |
|---|---|
| WB | 1/1000 |
| IHC | 1/100-1/500 |
| ICC | 1/25 |
![]() |
RPLP0P6 Antibody (N-term) (Cat. #P32495) western blot analysis in U251,PC-3 cell line lysates (35ug/lane).This demonstrates the RPLP0P6 antibody detected the RPLP0P6 protein (arrow). |
![]() |
Fluorescent image of Hela cells stained with RPLP0P6 Antibody (N-term)(Cat#P32495). P32495 was diluted at 1:25 dilution. An Alexa Fluor 488-conjugated goat anti-rabbit lgG at 1:400 dilution was used as the secondary antibody (green). Cytoplasmic actin was counterstained with Alexa Fluor® 555 conjugated with Phalloidin (red). |
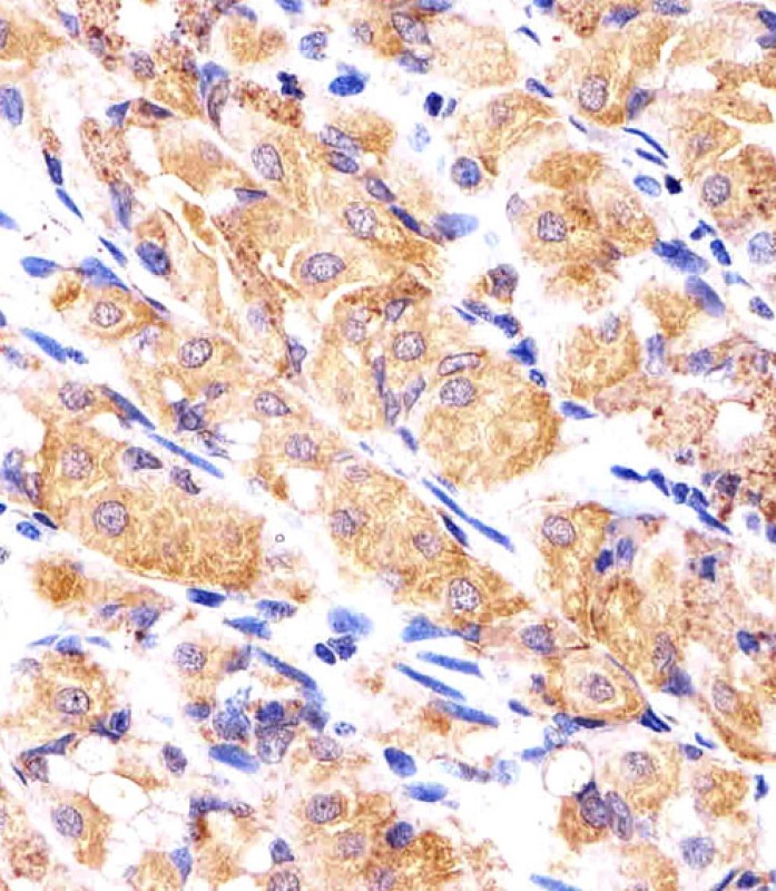
![]() |
Immunohistochemical analysis of paraffin-embedded H. stomach section using RPLP0P6 Antibody (N-term)(Cat#P32495). P32495 was diluted at 1:25 dilution. A undiluted biotinylated goat polyvalent antibody was used as the secondary, followed by DAB staining. |
本公司的所有产品仅用于科学研究或者工业应用等非医疗目的,不可用于人类或动物的临床诊断或治疗,非药用,非食用。
暂无评论
本公司的所有产品仅用于科学研究或者工业应用等非医疗目的,不可用于人类或动物的临床诊断或治疗,非药用,非食用。
中文



发表回复