别名:40S ribosomal protein S13, RPS13应用:WB,IHC,FCM
反应种属:Human
规格:50μl/100μl
| Description |
|---|
| RPS13, the organelles that catalyze protein synthesis, consist of a small 40S subunit and a large 60S subunit. Together these subunits are composed of 4 RNA species and approximately 80 structurally distinct proteins. This gene encodes a ribosomal protein that is a component of the 40S subunit. The protein belongs to the S15P family of ribosomal proteins. It is located in the cytoplasm. The protein has been shown to bind to the 5.8S rRNA in rat. The gene product of the E. coli ortholog (ribosomal protein S15) functions at early steps in ribosome assembly. This gene is co-transcribed with two U14 small nucleolar RNA genes, which are located in its third and fifth introns. As is typical for genes encoding ribosomal proteins, there are multiple processed pseudogenes of this gene dispersed through the genome. |
| Specification | |
|---|---|
| Aliases | 40S ribosomal protein S13, RPS13 |
| Entrez GeneID | 6207 |
| Swissprot | P62277 |
| WB Predicted band size | 17.2kDa |
| Host/Isotype | Rabbit IgG |
| Storage | Store at 4°C short term. Aliquot and store at -20°C long term. Avoid freeze/thaw cycles. |
| Species Reactivity | Human |
| Immunogen | This RPS13 antibody is generated from rabbits immunized with a KLH conjugated synthetic peptide between 82-110 amino acids from the Central region of human RPS13. |
| Formulation | Purified polyclonal antibody supplied in PBS with 0.05% sodium azide. This antibody is purified through a protein A column, followed by peptide affinity purification. |
| Application | |
|---|---|
| WB | 1/1000 |
| IHC | 1/100-1/500 |
| FCM | 1/10-1/50 |
![]() |
Western blot analysis of RPS13 Antibody (Center) (Cat. #P30567) in NCI-H460 cell line lysates (35ug/lane). RPS13 (arrow) was detected using the purified Pab. |
![]() |
RPS13 Antibody (Center) (Cat. #P30567) flow cytometric analysis of NCI-H460 cells (right histogram) compared to a negative control cell (left histogram).FITC-conjugated goat-anti-rabbit secondary antibodies were used for the analysis. |
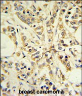
![]() |
RPS13 Antibody (Center) (Cat. #P30567) IHC analysis in formalin fixed and paraffin embedded breast carcinoma followed by peroxidase conjugation of the secondary antibody and DAB staining. This data demonstrates the use of the RPS13 Antibody (Center) for immunohistochemistry. Clinical relevance has not been evaluated. |
本公司的所有产品仅用于科学研究或者工业应用等非医疗目的,不可用于人类或动物的临床诊断或治疗,非药用,非食用。
暂无评论
本公司的所有产品仅用于科学研究或者工业应用等非医疗目的,不可用于人类或动物的临床诊断或治疗,非药用,非食用。
中文



发表回复