别名:CIG5; Radical S-adenosyl methionine domain-containing protein 2; Cytomegalovirus-induced gene 5 protein; Viperin; Virus inhibitory protein endoplasmic reticulum-associated interferon-inducible应用:WB,IHC
反应种属:Human
规格:50μl/100μl
| Specification | |
|---|---|
| Aliases | CIG5; Radical S-adenosyl methionine domain-containing protein 2; Cytomegalovirus-induced gene 5 protein; Viperin; Virus inhibitory protein endoplasmic reticulum-associated interferon-inducible |
| Entrez GeneID | 91543; |
| Swissprot | Q8WXG1 |
| WB Predicted band size | 42kDa |
| Storage | Store at 4°C short term. Aliquot and store at -20°C long term. Avoid freeze/thaw cycles. |
| Species Reactivity | Human |
| Immunogen | KLH-conjugated synthetic peptide encompassing a sequence within the N-term region of human RSAD2. |
| Formulation | Rabbit IgG in phosphate buffered saline (without Mg2+ and Ca2+), pH 7.4, 150mM NaCl, 0.02% sodium azide and 50% glycerol. |
| Application | |
|---|---|
| WB | 1/500-1/1000 |
| IHC | 1/50-1/100 |
![]() |
Western blot analysis of GPR10 expression in A2058, Jurkat whole cell lysates. |
![]() |
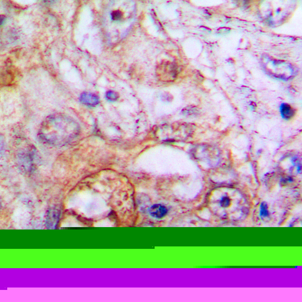
Immunohistochemical analysis of RSAD2 staining in human prostate cancer formalin fixed paraffin embedded tissue section. The section was then incubated with the antibody at room temperature and detected using an HRP conjugated compact polymer system. DAB was used as the chromogen. The section was then counterstained with haematoxylin and mounted with DPX. |
本公司的所有产品仅用于科学研究或者工业应用等非医疗目的,不可用于人类或动物的临床诊断或治疗,非药用,非食用。
暂无评论
本公司的所有产品仅用于科学研究或者工业应用等非医疗目的,不可用于人类或动物的临床诊断或治疗,非药用,非食用。
中文


发表回复