别名:R-spondin-4, Roof plate-specific spondin-4, hRspo4, RSPO4, C20orf182应用:WB,IHC,FCM
反应种属:Human
规格:50μl/100μl
| Description |
|---|
| RSPO4 is a member of the R-spondin family of proteins that share a common domain organization consisting of a signal peptide, cysteine-rich/furin-like domain, thrombospondin domain and a C-terminal basic region. The encoded protein may be involved in activation of Wnt/beta-catenin signaling pathways. Mutations in this gene are associated with anonychia congenital. Alternate splicing results in multiple transcript variants. |
| Specification | |
|---|---|
| Aliases | R-spondin-4, Roof plate-specific spondin-4, hRspo4, RSPO4, C20orf182 |
| Entrez GeneID | 343637 |
| Swissprot | Q2I0M5 |
| WB Predicted band size | 26.2kDa |
| Host/Isotype | Rabbit IgG |
| Storage | Store at 4°C short term. Aliquot and store at -20°C long term. Avoid freeze/thaw cycles. |
| Species Reactivity | Human |
| Immunogen | This RSPO4 antibody is generated from rabbits immunized with a KLH conjugated synthetic peptide between 199-228 amino acids from the C-terminal region of human RSPO4. |
| Formulation | Purified polyclonal antibody supplied in PBS with 0.05% sodium azide. This antibody is purified through a protein A column, followed by peptide affinity purification. |
| Application | |
|---|---|
| WB | 1/1000 |
| IHC | 1/100-1/500 |
| FCM | 1/10-1/50 |
![]() |
RSPO4 Antibody (C-term) (Cat. #P30710) western blot analysis in Jurkat cell line lysates (15ug/lane).This demonstrates the RSPO4 antibody detected the RSPO4 protein (arrow). |
![]() |
RSPO4 Antibody (C-term) (Cat. #P30710) flow cytometric analysis of Jurkat cells (bottom histogram) compared to a negative control cell (top histogram).FITC-conjugated goat-anti-rabbit secondary antibodies were used for the analysis. |
![]() |
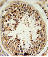
RSPO4 Antibody (C-term) (Cat. #P30710) immunohistochemistry analysis in formalin fixed and paraffin embedded human testis tissue followed by peroxidase conjugation of the secondary antibody and DAB staining. This data demonstrates the use of the RSPO4 Antibody (C-term) for immunohistochemistry. Clinical relevance has not been evaluated. |
本公司的所有产品仅用于科学研究或者工业应用等非医疗目的,不可用于人类或动物的临床诊断或治疗,非药用,非食用。
暂无评论
本公司的所有产品仅用于科学研究或者工业应用等非医疗目的,不可用于人类或动物的临床诊断或治疗,非药用,非食用。
中文



发表回复