别名:NIMP; OPA10应用:IHC
反应种属:Human, Mouse
规格:50μl/100μl
| Description |
|---|
| This gene encodes a mitochondrial protein that interacts with reticulon 4, which is a potent inhibitor of regeneration following spinal cord injury. This interaction may be important for reticulon-induced inhibition of neurite growth. Mutations in this gene can cause optic atrophy 10, with or without ataxia, mental retardation, and seizures. There is a pseudogene for this gene on chromosome 12. Alternative splicing results in multiple transcript variants. |
| Specification | |
|---|---|
| Aliases | NIMP; OPA10 |
| Swissprot | Q8WWV3 |
| Host/Isotype | Rabbit IgG |
| Storage | Store at 4°C short term. Aliquot and store at -20°C long term. Avoid freeze/thaw cycles. |
| Species Reactivity | Human, Mouse |
| Immunogen | Synthetic peptide of human RTN4IP1 |
| Formulation | pH7.4 PBS, 0.05% NaN3, 40% Glycerol |
| Application | |
|---|---|
| IHC | 1/25-1/100 |
| ELISA | 1/5000-1/10000 |
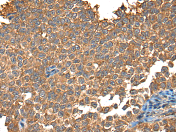
![]() |
The image is immunohistochemistry of paraffin-embedded Human gastric cancer tissue using P13114(RTN4IP1 Antibody) at dilution 1/25. (Original magnification: ×200) |
![]() |
The image is immunohistochemistry of paraffin-embedded Human ovarian cancer tissue using P13114(RTN4IP1 Antibody) at dilution 1/25. (Original magnification: ×200) |
本公司的所有产品仅用于科学研究或者工业应用等非医疗目的,不可用于人类或动物的临床诊断或治疗,非药用,非食用。
暂无评论
本公司的所有产品仅用于科学研究或者工业应用等非医疗目的,不可用于人类或动物的临床诊断或治疗,非药用,非食用。
中文


发表回复